您当前的位置:主页 > 医院动态 > 医院新闻 >

舌尖上的禁忌——尤其这类人群要管住自己的口

日期:2020-01-31 来源:上海蓝十字脑科医院 进入脑科疾病答疑区

医院公告 我院为上海市医保定点单位 如以下文章有不明之处 可以点击客服服务,一对一为您解答!

  中华文化博大精深,尤以饮食文化为代表,“酒”已成为各种社交活动、宴席聚会的主角,“无酒不欢,无酒不成席”、“感情深,一口闷”、“桌上有酒,越喝越有”,尤其是遇到春节,更是“酒逢知己千杯少”。年关将至,各种聚会约起来,不管是同事请客、朋友聚餐,还是亲友相聚,都是“干、干、干”,殊不知危险正在靠近……

  频繁的喝酒应酬,会给五脏,特别是肝胆、肠胃及心脑血管带来沉重的负担,尤其是长期过量饮酒,会埋下很大的健康隐患,特别是部分疾病患者不适合喝酒,容易加重病情,严重时还会危及生命。

  那么,日常生活中哪些人群不宜喝酒呢?

  喝酒需谨慎,这些人群可要小心

  上海蓝十字脑科医院脑血管病区主任张琪博士介绍,不是人人都可以喝酒的,喝酒一定要谨慎,有些人喝酒后会引起身体不适,甚至引发新的疾病,而对于那些不适合喝酒的疾病患者更是如此。生活中,这六类人群不宜喝酒:

  1、高血压患者:酒精进入人体,容易刺激人的神经中枢,扩张血管,使高血压患者的血压进一步升高,而酒精对神经有麻痹作用,患者不能及时发现血压变化的危险信号,直至诱发脑中风等疾病,严重危害健康,因此高血压患者不宜喝酒。

  2、肝病患者:肝脏是酒精代谢的最主要的场所,而急、慢性肝病的患者,其肝脏功能不健全,不能及时发挥其解毒功能,容易发生酒精中毒,而且酒精还会直接损伤肝细胞,加重病情,因此肝病患者不宜喝酒。

  3、糖尿病患者:糖尿病患者需要严格禁酒,因为酒精进入人体后,会加重胰腺负担,使得本来就不够的胰腺素更加紧张,会加剧血糖、血脂的紊乱,严重时甚至会诱发糖尿病酮症酸中毒、低血糖等相关疾病。

  4、肠胃病患者:酒精中含有大量的乙醇,会破坏胃及十二指肠粘膜,从而导致胃和十二指肠粘膜变薄,甚至出现破损,严重者甚至会出现胃溃疡和胃出血等情况,而本身患有肠胃病的患者,如果经常喝酒,会加重病情。

  5、已孕妇女:孕妇和备孕女性建议禁酒,因为喝酒有可能会导致腹中胎儿发育不好,导致身体缺陷,影响智力等,严重的还会导致胎儿酒精中毒,易引起畸形和流产等现象。

  6、服用药物的人:通常吃药后,建议不要喝酒,尤其是服用了头孢类和甲硝唑等药物的人,因为这些药物很可能会和酒精发生“双硫仑样反应”,和喝醉之后的反应极其相似,都会心跳加速、头晕恶心、呕吐等,严重的还会导致休克,甚至死亡。

  对于喝酒“小酌怡情,大酌伤身”,而对于上述的几类人群,喝酒百害而无一利,一定要禁酒。而在上述的几类人群中,今天要着重介绍一下高血压患者,因为高血压、喝酒是引发脑中风的两大危险因素,如果这两大因素一起作用,患脑中风的几率会更高。

  高血压、喝酒与脑中风,究竟有怎样的关系?

  张琪博士介绍,脑中风因其具有“高发病率、高致残率、高复发率和死亡率”的四高特点,已成为中国人第一大死亡原因,而大多数脑中风的患者都有一定程度的高血压病史。高血压是局部缺血性脑中风和出血性脑中风的最主要的危险因素,但对于脑中风而言,防大于治,要以预防为主,就要保持血压平衡,只有把血压控制好,才能更好的降低脑中风的发生几率。

  而喝酒,尤其是长期酗酒,是脑中风发生的一个重要危险因素。酒的主要成分是酒精,即乙醇,对人体各种组织细胞都有损害,饮酒过多会使胆固醇增加,引起动脉粥样硬化;同时,酒精本身对心血管系统具有兴奋作用,能增加心肌收缩力,加快心率,促使血流加快和升高血压,由于血压突然升高,更易发生脑中风,而本来就有高血压的患者,更应该禁酒。

  喝酒除了会引发脑中风之外,同时因酒精对人的中枢神经有麻痹作用,使人意识不清,还会引发各种意外,造成很大伤害。

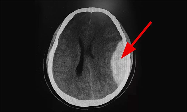
  近日,上海蓝十字脑科医院急诊科就收治一名酒后的男性患者,其意识不清,并不慎摔倒,而自己却不知道,造成左侧额顶叶急性硬脑膜外血肿伴脑疝形成,情况危急,幸好抢救及时,已脱离了生命危险,之后也未留下任何后遗症。

▲ 患者出血严重,情况危急

  当天早晨9:50,救护车送来一名53岁的男性患者,一打开车门,医生就闻到了一股酒气,检查发现他呈醉酒状态,呼之勉强睁眼,言语含糊,查体发现右侧肢体强直,肢体肌力仅为2级。卒中小组和急诊科医生迅速判断,考虑患者为脑中风可能性很大,并立即启动“脑卒中绿色通道”,进入脑卒中流程。

  10:01,CT检查结果显示:患者为左侧额顶叶急性硬脑膜外血肿伴脑疝形成,病情非常危急,卒中小组立即联系脑血管病区主任张琪博士,随后完善各项检查,待手术准备就绪,行左侧额顶叶急性硬脑膜外血肿清除术。

▲ 为患者手术的张琪博士(中间)

  患者因为喝醉意识不清,自己摔倒了也不知道,朋友和家属也不曾知道。手术时,张琪博士发现患者左侧顶部明显一横行骨折线贯穿至左侧额骨颧突;术中去下骨瓣后,见硬膜外大量暗红色血块,并进行了彻底清除,随后见硬脑膜表面多发渗血,予以彻底止血,经过医护人员两个多小时的齐心协力,手术顺利完成。手术后患者清醒,右侧肢体情况也有所好转,目前患者恢复良好,已出院。

  喝酒后,这五件事不能做!

  张琪博士提醒大家,喝酒有害健康,一定要量力而行,尤其是患有某些疾病不宜喝酒的患者,更是要禁酒。但对于那些能喝酒的人来讲,长期喝酒也是有害身体健康的,尤其是喝酒后这五件事,一定不能做:

  1、不要立刻洗澡

  许多人习惯酒后洗澡,觉得洗澡后自己会清醒一些,同时也可以冲淡酒味,但酒后立刻洗澡,不管是冷水澡还是热水澡,会导致酒精不能及时散发出来,更容易引起醉酒,严重者会导致酒精中毒,产生昏迷的现象。

  2、不要立刻睡觉

  酒精主要是靠肝来代谢,如果立刻睡觉,人体新陈代谢会变得缓慢,对肝不利,易得酒精肝,建议用冷水洗脸,坐着休息。若是重度酒精中毒,很可能一睡不醒,这种情况下家人要陪在身边,隔两小时叫醒醉酒者,喂点白开水或蜂蜜水,直到醒酒为止。

  3、不要抠喉咙

  喝酒喝多后,有些人会选择抠喉咙把酒吐出来,认为这样可以缓解醉酒情况,但很危险。张琪博士表示,催吐会导致胃内容物反流进入食管,日久会导致食管下括约肌松弛,出现反流性食管炎,同时,醉酒者意识不清,易吸入呕吐物引起窒息。

  4、不要喝浓茶

  茶碱有利尿作用,加速酒精中尚未分解的乙醛进入肾脏,而乙醛对泌尿系统有很大的损伤,加上酒精对心脑血管有很大的刺激性,而浓茶同样有兴奋心脏的作用,二者相合,更增加了对心脑血管的刺激。

  5、不要剧烈运动

  啤酒具有利尿作用,酒后会排除体内的大量水分,如果酒后立刻运动,不但无法及时补充水分,还有可能因为大量出汗导致严重的脱水,酒精在体内的积累可能造成严重的酒精中毒,还会出现心跳加速、腿部抽筋,甚至产生缺氧昏厥的现象。

上一篇:【公告】上海蓝十字脑科医院2020年春节假期门(急)诊安排 下一篇:要闻 | 市、区两级卫健委领导莅临医院 全面督查新型冠状病毒感染的肺炎防控工作
医院简介专家教授科室介绍医院荣誉医学百科就医指南上海蓝生脑科公司