“今年春节的时候,当我看着母亲咿呀和我说话沟通时,当我还能和母亲聊起曾经闲散搞笑的回忆时,当她温暖的双手再次抓住我的脸颊和头发时……请接受我写这封迟到的感谢信给你们……”

3月11日,一封情真意切的感谢信,被送到了上海蓝十字脑科医院神经外科6B病区潘仁龙主任和吴治群主任的办公室,这封感谢信虽仅有两页纸,却承载了患者家属的感激、信任与恩情,诉说着特殊时期感人的故事。
感谢信
(现附感谢信原文)


▲ 一封迟到的感谢信
尊敬的蓝十字脑科医院6B全体医务工作者们:
今年春节的时候,当我看着母亲咿呀和我说话沟通时,当我还能和母亲聊起曾经闲散搞笑的回忆时,当她温暖的双手再次抓住我的脸颊和头发时……我和家人对贵医院尤其是神经外科6B的医护团队报以无法用言语感激的心情,为此,请接受我写这封迟到的感谢信给你们。
我要感谢蓝十字脑科医院神经外科6B全体医务工作者们的精心医治与照料,才挽救了我母亲的生命,把我和家人从那种绝望的边缘硬是拉了回来。尤其是潘仁龙主任、吴治群主任、尤国栋医师、黄秀夫医师等多位可爱善良的医生,及护士们,是他们把我母亲从绝境中拉出来的,从深层的昏睡中唤醒过来;是他们用其精湛的医术、无微不至的护理,救了我母亲的生命,我和家人感激而泣。
一时不知从何写起,也不知从何说起,在我写这封感谢信时,不禁回忆起当时母亲入院、住院的一场场、一幕幕,感激的心情油然而生。
事起2019年10月06日,我的母亲被确诊为脑脓肿,在经历脓肿手术后,继而颅内感染,去颅骨减压等,从而生命垂危,看见母亲被病痛折磨,全家人心急如焚、不知所措。为求进一步治疗,后转入上海蓝十字脑科医院进行救治。贵医院神经外科6B病区潘仁龙主任、吴治群主任带领医护团队,为我们迅速确诊了病情,制定了详细的治疗方案,并与我们家属进行了及时的沟通,使我们从六神无主到明白病因、了解病情,再到积极配合治疗。
忘不了潘仁龙主任多次认真督导,忘不了吴治群主任多次认真的医治以及与我们家属不厌其烦的进行沟通,忘不了杨世平护士长领导的各位可爱责任心满满的护士们的精心护理。
在贵医院医护人员的精心照料下,我母亲的病情得到了及时的治疗,也正因为此次母亲的疾病,作为家属的我们深感医务人员的艰辛。不管假期还是值班,总能见到潘仁龙主任早到晚走的忙碌身影;当母亲手术顺利结束后,我看到吴治群主任和医师们苍白脱皮的嘴唇,双手被手套箍出的种种勒痕;还有赶忙服务病患而顾不上三餐的护士们,即使如此,他们还是笑脸迎对每一位病患。
回忆起管床医生尤国栋说过的一句话:就算是6B的半层区域,每位护士的微信运动都是万步以上,种种画面令我动容泪目。住院期间比起医患关系,医务工作者和我们家属更像是亲密的朋友,愿可爱的你们遇上可爱理解的病患,从此不再有委屈,不再有误解。同时,我也非常感谢贵医院的各级领导,感谢贵院有这么多优秀医生,感谢您们培育出像潘仁龙主任和吴治群主任这样的好医生!
千言万语的感谢汇成一句祝福的话:真心祝愿贵医院全体医护人员身体健康,工作顺利~
信纸虽轻却饱含感激之情
此致敬礼
6B患者:葛XX ,患者女儿:居XX
2020年3月11日
疫情期发来感谢信,更让人动容

▲ 今年春节期间, 患者(前排左一)渐清醒,正康复中
对于患者女儿送来的这封感谢信,潘仁龙主任讲到:“疫情期间我们虽然未能战斗在抗疫第一线,但我们却一直坚守在防疫的一线,我们对非新冠肺炎患者的救治从未停止过。能在疫情期间,收到患者家属的感谢信,内心还是蛮感动的,这也是患者对我们医护人员最大的肯定和赞美”。
回 顾
母亲突患病 当地医院2次手术后仍昏迷
去年9月下旬,一场突如其来的疾病打破了葛女士(化名)一家原有的生活平静,让全家人陷入了绝望。据患者女儿回忆,当时她母亲左侧肢体就出现了活动障碍,病情不断发展,症状也不断加剧,之后就诊于当地医院,被确诊为“脑脓肿”,并进行了脑脓肿手术,术后陷入重度昏迷。随后患者又因颅内压过高和颅内感染,而进行了“去骨瓣减压术和气管切开术”,但之后患者仍处于昏迷状态,情况不容乐观,家人心急如焚,不知所措。
为求进一步治疗,2019年11月13日患者慕名就诊于上海蓝十字脑科医院,并收治于神经外科6B病区。
患者病情危急,专家会诊定方案
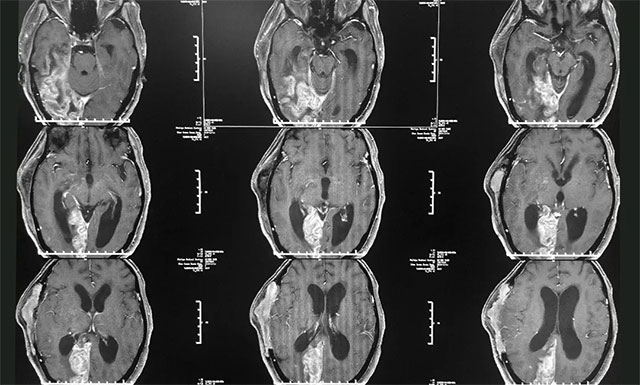
患者葛女士颅内重度感染,情况不容乐观,对此吴治群博士介绍说:“患者因其之前脑脓肿比较严重,术后又出现了一系列并发症,颅内严重感染,伴颅内高压,脑积水也非常严重;来院时患者就陷入了深度昏迷,当时她的拉斯哥昏迷评分(GCS)仅有6分(GCS评分最高为15分,分数越低则意识障碍越严重);又因之前行去骨瓣减压术,患者右侧颞顶骨大块缺损,脑组织凹陷,脑室受压变窄,情况危急,并收治于6B神经外科监护病房”。

▲ 患者颅内感染严重,情况非常危急
完善各项检查后,潘主任和吴主任针对其病情进行了会诊,一致认为患者目前颅内感染严重,并引发了脑积水,需要及时手术,否则会破坏大脑功能,严重时则可能形成脑疝,甚至昏迷及死亡。随后,潘主任医生团队制定了完善周密的治疗方案。
为了确保患者安全,决定先对其进行储液囊置入术,缓解其颅内高压。
潘主任对此解释,有些脑积水严重的患者虽然达到脑室腹腔分流手术指征,但脑脊液的常规与生化指标均达不到脑室腹腔分流标准,此时可先置入储液囊,进行穿刺储液囊引流脑脊液,暂时缓解颅内压。待患者脑脊液完全变清后,且脑脊液生化和常规检查符合分流条件时即可进行手术,否则容易堵管致分流失败。这种储液囊置入方法,可有效提高患者促醒、意识恢复的治疗效果。
在与家属深入沟通并征得同意后,手术准备就绪,于2019年12月5日在全麻下对患者进行了“脑室穿刺储液囊植入术”,术后观察其脑室缩小,病情有所好转,开始有意识反应;之后又于12月11日,对其进行了“侧脑室腹腔内分流术”,术后予以止血,抗感染,护胃、预防癫痫、营养支持等对症治疗,患者意识已渐渐清醒,病情明显好转,生命体征稳定。

▲ 正为患者手术的吴治群博士(右一)
看到母亲渐渐恢复,葛女士女儿激动地说:“之前母亲情况真的很差,但经过医护人员3个多月的专业救治和精心护理,她由深度昏迷到慢慢有了意识,再到意识清醒,现在已经能够认识家里所有人,脑部的记忆也恢复了,现在右手还能写字;同时,也可以说话了,但只能说一些简单的词句,因为之前进行过气管切开术,现在已经拿掉(插管),恢复得也比较好”。
“我亲历了母亲从入院到治疗的所有过程,当时母亲重度昏迷,我们很绝望,是上海蓝十字脑科医院让她奇迹苏醒,是神经外科6B病区潘主任和吴主任带领的医护团队3个多月的专业治疗与暖心护理,让母亲再次清醒,真的特别感动。”患者女儿哽咽道。

▲ 颅骨大块缺损,脑组织凹陷严重
随后,鉴于患者病情已稳定,其右侧颞顶骨大块缺损,大小约为7厘米X 6厘米,脑组织失去了支撑和保护,且其颅骨缺损的时间愈长,颅骨缺损综合征及继发性脑损害的发生率愈高。因此,今年2月24日对其进行了PEEK颅骨修补术,以便更好地保护脑组织,避免了患者因颅骨缺损而引起的各种健康问题和额外风险。
这场来势汹汹的新冠肺炎疫情,将医护人员推到了风口浪尖,全国有近5万名医护工作者驰援重点疫区,他们逆行而上,与本在重点疫区的医护人员并肩抗击疫情,不畏生死;还有大部分医护人员,他们虽未能战斗在抗疫的第一线,但他们却奔忙在防疫的一线,医治、守护着那些需要及时救治的危重病患,以确保他们的生命安全。
挺身而出的并非生而英雄,而是以生命守护生命的凡人。
专业特长:精通颅脑外伤诊治,除常规显微神经外科手术治疗各类颅内肿瘤、脑血管疾病外,尤其擅长内镜下经鼻蝶颅底肿瘤切除及锁孔微创手术。
上一篇:“抗疫情 心连心”——上海蓝十字脑科医院党员带头踊跃捐款献爱心 众志成城抗疫情 下一篇:疫情期间,帕金森病患者如何既防疫又抗帕?
11月22日至23日上午,由上海市社会医疗机构协会神经病学分会、上...【详细】


