您当前的位置:主页 > 医院动态 > 医院新闻 >

她眼“花”头晕竟查出蝶骨嵴脑膜瘤 沈建康教授翼点开“窗”顺利切除

日期:2020-05-29 来源:上海蓝十字脑科医院 进入脑科疾病答疑区

医院公告 我院为上海市医保定点单位 如以下文章有不明之处 可以点击客服服务,一对一为您解答!

  脑膜瘤是神经外科常见的颅内肿瘤之一,发病率占颅内肿瘤的19.2%,仅次于胶质瘤,居第2位。一般而言,脑膜瘤属于良性肿瘤,生长慢,病程长。但有一种类型的脑膜瘤,体积很小时患者就可能出现明显症状,其位置毗邻鞍区重要神经血管结构,随着肿瘤不断生长会逐渐压迫神经和动脉血管,产生视力下降、嗅觉障碍等症状。这,就是蝶骨嵴内侧脑膜瘤。

  眼花头晕竟查出脑膜瘤

  胡女士(化名)今年56岁,前段时间视力出现明显下降,双侧视力在0.5上下,起初她觉得可能是老眼昏花,并没有太在意。“五一”黄金周期间,胡女士出现无明显诱因的头晕和恶心呕吐,遂前往当地医院就诊。

  经检查,其右侧前颅窝区占位,考虑脑膜瘤。“除了头晕呕吐,并没有其他明显不适症状,不想竟然生了脑瘤。”胡女士和家人对诊断结果大吃一惊。


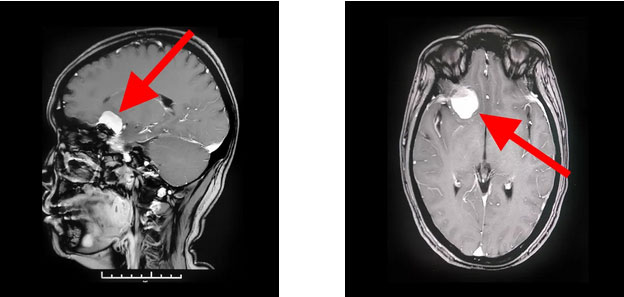
  为寻求进一步治疗,经亲友推荐,胡女士慕名前来上海蓝十字脑科医院。入院后,行头颅磁共振增强扫描后确认,患者右侧颅底蝶骨嵴-鞍结节区实性占位,考虑为脑膜瘤且血供丰富;右侧大脑前动脉A1段与瘤灶贴近。

  上海蓝十字脑科医院神经外科主任沈建康教授表示,蝶骨嵴脑膜瘤的临床表现取决于肿瘤的部位,内侧型早期症状明显,患者早期可出现脑神经受压表现,如视力下降等。如肿瘤向眼眶内或眶上裂侵犯,眼静脉回流受阻,患者可以有眼球突出等症状。内侧型患者还可出现嗅觉障碍和精神症状,但较为少见。

  外侧型蝶骨嵴脑膜瘤症状出现较晚,早期仅有头痛而缺乏定位体征,一部分患者可以表现为颞叶癫痫发作,如肿瘤侵犯颞骨可出现颧颞部骨质隆起。两种类型的肿瘤在生长较大时,均会引起对侧肢体肌力减退和颅内压增高。

  肿瘤个头虽不大 手术难度却很大

  颅脑肿瘤的治疗,首选外科手术方式。而手术切除肿瘤的难度,取决于肿瘤生长的位置和大小。


  ▲ 蝶骨嵴脑膜瘤周围多重要神经血管

  上海蓝十字脑科医院神经外科主任沈建康教授指出,患者的脑肿瘤直径约3厘米,只有“鸽子蛋”大小,体积并不大。但蝶骨嵴脑膜瘤由于位置比较特殊,肿瘤有可能和血管神经粘连紧密,手术难度和风险都很大。如果没有做到全切除,肿瘤易复发,可能需要再次手术;术中若损伤瘤体周围神经血管,则可能导致患者残疾,甚至危及生命。


  ▲ 沈教授(右)与吴治群博士(左)讨论患者病情

  在颅底肿瘤切除方面有着丰富手术经验的沈建康教授,与神经外科6B病区潘仁龙主任、吴治群博士团队开展了严谨的术前评估工作。沈教授指出,随着脑膜瘤的不断生长,患者视神经等重要神经和动脉血管将进一步被压迫。通过手术切除肿瘤,可解除肿瘤对周围组织的压迫,改善症状。

  患者手术指征明确,在完善相关预案,明确告知患者和家属手术风险并获得签字同意后,沈建康教授在吴治群博士的协助下,为患者实施了经翼点小骨窗入路蝶骨嵴脑膜瘤切除手术。


  ▲ 借助蔡司显微镜(双荧光),沈教授开展高难度手术

  通过蔡司显微镜(双荧光)下可见,患者蝶骨嵴内侧硬脑膜下有淡红色肿物,血供丰富。肿物大小约2.5cm*2.5cm*1.5cm,肿瘤与额叶底面脑组织粘连,并有较多血管沟通。沈教授聚精会神,抽丝剥茧地自蝶骨嵴位置基底部将肿物从硬脑膜分离。在镜下保护好视神经和颈内动脉、大脑中动脉、大脑前动脉等大血管,“蚂蚁搬家”般将只有“鸽子蛋”大小的肿物一点一点逐步切除。整台手术历时近5个小时,患者术中失血约100毫升,未进行输血,安返监护室后进一步观察。经病理检查,该肿瘤确诊为脑膜瘤。


  ▲ 术后影像显示,肿瘤已被切除

  术后一周,胡女士恢复情况良好,没有出现偏瘫失明等功能障碍和其他明显并发症。

  目前,胡女士正在康复中,不久将顺利出院。

  脑膜瘤宜早发现、早手术

  脑膜瘤是起源于脑膜及脑膜间隙的衍生物。约50%位于矢状窦旁,另大脑凸面、大脑镰旁者多见,其次为蝶骨嵴、鞍结节、嗅沟、小脑桥脑角与小脑幕等部位。

  沈建康教授表示,脑膜瘤的常见症状包括:颅内压增高表现(如:头痛头晕、恶心呕吐等)、神经功能障碍(肢体无力、肢体感觉障碍、言语不利等)、癫痫等。

  一些特殊部位脑膜瘤,如本次手术的蝶骨嵴内侧型脑膜瘤可出现单眼视力减退或失明,视野缺损等。而大型蝶骨嵴脑膜瘤可包绕颈内动脉或压迫大脑后动脉,引起脑梗死。

  蝶骨嵴内侧型脑膜瘤因其常邻近海绵窦,第Ⅲ、Ⅳ、Ⅵ脑神经,视神经,视交叉,垂体,下丘脑等,通过手术全切除存在许多困难。不过,如今在先进的显微镜设备辅助下,可有效提高脑膜瘤的全切率,降低手术风险。

  沈教授提醒,随着肿瘤的生长,蝶骨嵴脑膜瘤会逐渐压迫神经和动脉,手术难度也会进一步提高,因此临床上建议患者在出现症状后应尽早就诊,及时手术。

上一篇:落实任务 勇于担当 | 蓝十字举办年度科室目标管理责任书签字仪式 下一篇:凝心聚力“迎评”创优——上海蓝十字脑科医院组织开展首次“双评”模拟评审
医院简介专家教授科室介绍医院荣誉医学百科就医指南上海蓝生脑科公司