您当前的位置:主页 > 医院动态 > 医院新闻 >

上了年纪头晕头痛乏力,要警惕脑肿瘤!

日期:2019-07-22 来源:上海蓝十字脑科医院 进入脑科疾病答疑区

医院公告 我院为上海市医保定点单位 如以下文章有不明之处 可以点击客服服务,一对一为您解答!

  胶质瘤是颅内最常见的恶性肿瘤,发病率占颅内原发性肿瘤的50%,居第1位。多见于成人,好发部位以额叶、颞叶、顶叶居多。胶质瘤患者男性发病率高于女性,发病年龄以成人多见,30-40岁为发病高峰年龄。不同病理类型的胶质瘤各有其高发年龄,室管膜瘤的高发年龄在10岁以前,星形细胞瘤多见于中年人,老年人以胶质母细胞瘤多见。

  胶质瘤的临床症状主要分为

  (1)由肿瘤占位引起的高颅压症状,即由于颅内压增高,引起患者头疼、恶心、呕吐、眼底水肿等症状。其中,呕吐并不同于普通的吃东西导致的恶心、呕吐,而是一种喷射性呕吐。

  (2)肿瘤侵犯不同的功能区,导致不同的功能障碍。发生在额叶的胶质瘤会表现为精神行为的改变,尤其是老年人的额叶胶质瘤,会出现反映迟钝、精神行为异常,甚至随地大小便等;颞叶主管人体的语言和听觉中枢,如果胶质瘤发生在此处,就可能出现感音性失语,就是别人说话,患者听不懂,答非所问;发生在枕叶的胶质瘤会导致患者出现视野缺损;还有一种胶质瘤发生在大脑运动功能区,如大脑中央前回和中央后回,患者会出现感觉障碍或者运动障碍,也就是偏瘫或半身麻木等。

  (3)绝大部分脑胶质瘤的患者都以癫痫发作为主要表现,肿瘤发生的位置不同,癫痫发作的部位也不一样。

  胶质瘤治疗:以手术为主的综合治疗

  根据世界卫生组织(WHO)制定的分级系统,将脑胶质瘤分为Ⅰ级到Ⅳ级。应该注意:Ⅰ级与Ⅱ级胶质瘤生长缓慢,大脑逐渐适应。当出现癫痫小发作、性格改变、记忆与学习障碍等症状时应尽早进行影像学检查。临床上,CT诊断胶质瘤病较为困难,MRI(核磁共振成像)在发现和显示肿瘤范围方面比CT更为清晰和敏感。

  对神经胶质瘤的治疗以手术治疗为主,胶质瘤的手术切除原则是既要尽可能彻底切除肿瘤,缓解颅内压增高和占位效应,改善神经功能,又要尽可能保护脑重要的功能区。胶质瘤手术切除的主要目的是获得精准的病理诊断,为选择合适的后续治疗提供组织学依据;切除肿瘤消除占位,降低颅压;减轻肿瘤引起的神经系统症状和体征。

  但由于肿瘤浸润性生长,与脑组织间无明显边界,除早期肿瘤小且位于适当部位者外,一般都主张综合治疗,通过手术全切或近全切为放疗和化疗等联合治疗创造条件,即术后配合以放射治疗、化学治疗等,可延缓复发及延长生存期。

  李士其教授执刀 成功切除肿瘤

  近期,上海蓝十字脑科医院神经外科6B病区收治了一位胶质瘤患者,并成功完为他进行了手术。患者两个月前,突然出现头晕还伴有左侧下肢肢体无力,经当地医院检查可能是可能是血管源性病变或脑肿瘤,后转入上海蓝十字脑科医院进一步治疗。

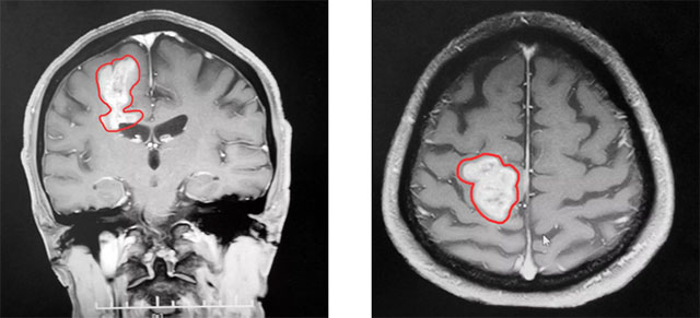
  到院时,患者左下肢肌力明显下降,走路不稳。头颅MRI平扫+增强+MRS+MRSI提示:右侧顶叶占位性病变。根据患者影像学检查及检验结果分析,专家认为颅内肿瘤恶性可能性大,并肿瘤性质不明,造成患者生活质量下降,应尽快行手术治疗,明确病理诊断。

  ▲ MR显示肿瘤近4厘米大小

  由于肿瘤位于患者右侧中央功能区,术中可能触及功能区及重要血管,手术极易造成神经功能障碍,造成患者术后肢体瘫痪,语言功能障碍等。术中术者对肿瘤边界的辨识、显微手术技巧、术区止血、周围脑组织的保护等任何一点稍有疏忽都可能出现灾难性后果,手术难度不言而喻。

  李士其教授在助手吴治群博士协助下,双极电凝沿肿瘤边界,在充分保护神经功前的前提下,历时三小时,最终2.0*3.0*3.8厘米大的肿瘤被切除。

  ▲ 李士其教授在紧张手术中

  术后病理确定为胶质瘤Ⅲ级,李士其教授据此与放疗科专家行MDT讨论,制定进一步放化疗方案。由于手术的成功为后续的放化疗打下了良好的基础,从而提高患者生存质量。同时专家叮嘱患者以后要定期检查,以防再次复发和恶化。

  李士其教授提醒,对于胶质瘤应争取做到早期确诊,及时治疗,以提高治疗效果。晚期不但手术困难,危险性大,并常遗有神经功能缺失。

  (注:部分图片来源于网络,如有侵权请联系删除。)

上一篇:视力下降、视野缺损是眼睛出问题了吗? 下一篇:放疗科:从每一个细节入手、用心服务,用爱导航
医院简介专家教授科室介绍医院荣誉医学百科就医指南上海蓝生脑科公司