若被告知得了“胆脂瘤”,会有什么反应呢?
患者肯定会犹如晴天霹雳般“谈瘤色变”,“医生,这胆脂瘤是恶性肿瘤吗?”
这时医生会告诉患者,“不是的,胆脂瘤其实不是肿瘤,但是它是一种会侵蚀脑间隙的病变。”
40岁的张先生(化名)因连续20余天发热、头痛并伴癫痫发作,最终被查出是胆脂瘤。乍听到“瘤”这个字让他受了不少惊吓,以为自己得了绝症,幸运的是在上海蓝十字脑科医院经过李士其教授手术后最终化险为夷。
胆脂瘤其实并非真的“肿瘤”
颅内胆脂瘤是起源于异位胚胎残余组织的先天性良性肿瘤,又称表皮样囊肿,由于这类肿瘤质地柔软且呈白色珍珠质光泽,故亦被称为“珍珠瘤”。好发于小脑桥脑角、鞍旁,也可见于第四脑室,侧脑室、大脑、小脑和脑干。颅内胆脂瘤的发病率为全脑肿瘤的0.5-1.8%,大小由几毫米至数厘米不等。男性略多于女性,约为1.25:1,以20-50岁发病最多见,占70%以上。
其通常沿蛛网膜下腔裂隙呈匍匐式钻孔生长,可包绕血管,部分病例侵犯脑实质。破裂可引起化学性脑膜炎,引发癫痫、脑梗死,甚至致死。
胆脂瘤被发现时往往已侵及脑组织
胆脂瘤起源于颅内的胚层上皮细胞,在胚胎发育3~5周当神经管脱离外胚层而闭合时,这些残留包埋在颅内,成为日后发生胆脂瘤的病理起源。肿瘤外层为纤维结缔组织包围,镜下观察肿瘤包膜内有如死亡的木质细胞,中心部分大部分为细胞碎屑,常含脂肪、胆固醇结晶。胆脂瘤一般无特殊症状和体征,首发症状以头痛为多;因肿瘤生长缓慢,病程长者可达数十年;肿瘤累及部位较广泛,亦可出现视力下降、共济失调、偏瘫及颅神经损害、癫痫发作,这与肿瘤发生的部位亦有密切关系。
颅内胆脂瘤,是一种生长缓慢的先天性肿瘤,生长特点极具特殊性,肿瘤缓慢扩展性生长,常沿颅底向蛛网膜下腔、脑的裂隙部位扩展,只有在生长较大的时候才表现出临床症状,多数没有临床表现的病人肿瘤生长期常持续许多年。因此,一旦出现临床症状并经检查发现肿瘤时,肿瘤已侵及脑沟、脑池和深部的腔隙,造成脑组织的移位,包裹颅神经和血管。
不同位置胆脂瘤临床表现不一
一般认为胆脂瘤发病无性别差别,可广泛发生在任何年龄,但仍以40岁为发病高峰。一般病情进展缓慢。其临床症状根据肿瘤的位置而较为不同。
小脑桥脑角位置,此部位最常见,多以三叉神经痛起病,可有患侧耳鸣、耳聋,可逐渐发展为小脑桥脑角综合征。体征表现为第V、VII和VIII颅神经功能障碍,面部感觉减弱,面肌无力,听力下降,共济失调等。少数可出现舌咽、迷走神经麻痹表现。
鞍区位置的胆脂瘤则常类似于垂体瘤,早期表现为视力减退、视野缺损等,甚至出现晚期视神经萎缩,但由于一般病情进展缓慢,视力严重减退和失明比较少见。亦可出现内分泌障碍,如性功能减退、多饮多尿等垂体功能不足及下丘脑损害症状。随着肿瘤的生长,可向前生长导致额叶症状,可向后突入第三脑室导致颅内压增高。位于鞍旁者亦可向中颅窝扩展,累及三叉神经节而出现疼痛、感觉麻木、颞肌及咬肌无力等。
位于脑实质内时,大脑半球肿瘤常有癫痫发作、精神症状及一侧肢体活动障碍,而小脑部位则多引起眼震、共济失调等。脑干肿瘤可出现交叉性瘫痪,患侧第VI、VII颅神经麻痹和对侧强制性轻瘫。
脑室内胆脂瘤则多见于侧脑室三角区及颞角,可体积较大,甚至充满脑室。由于脑脊液循环受阻而产生颅内压增高症状。相对来讲,少见于第三、第四脑室。
位于颅骨表面时,肿瘤可发生在颅骨的任何部位,但往往多见于中线或者近中线部位。可偶然被发现,呈颅骨表面隆起,较韧硬,一般无压痛。由于位于中线,故可向颅内扩展而累及静脉窦或深入脑组织内。

▲ 颅内胆脂瘤多表现为继发性三叉神经痛,极易误诊为原发三叉神经痛
颅内胆脂瘤的治疗:手术切除
《中华神经外科杂志》刊文指出,颅内胆脂瘤的治疗以手术切除为原则,要争取全切除,因为囊肿包膜是生长最活跃的部分。对那些与周围组织粘连较轻的囊肿,尤其是四脑室的囊肿,可望做到全切除。
选择适合的入路是手术成功的关键,因内镜管狭窄,可视范围受限,且入脑后位置可变性小,故应根据不同位置的病变,选择较佳的手术入路。桥小脑角胆脂瘤采用翼点入路或枕下入路,颞叶采用经颞入路,小脑胆脂瘤采用经枕下入路,侧脑室采用经脑室入路,松果体区经枕下幕上入路。
张先生(化名)于20多天前无明显诱因出现持续性发热、头痛,伴鼻塞、咽部不适等,体温高达39℃,经当地诊所输液治疗无改善。当地市医院诊断为“呼吸道病毒感染”,输液治疗后体温初步恢复正常,但仍间歇发热,其他症状无明显改善。不久转当地医院治疗,查脑CT示:颅内占位性病变。期间癫痫发作,突发四肢抽搐、双眼上翻、尿失禁、意识障碍颈部后仰,持续约1分钟。后连夜赶来上海,于10月16日转入上海蓝十字脑科医院寻求进一步治疗。

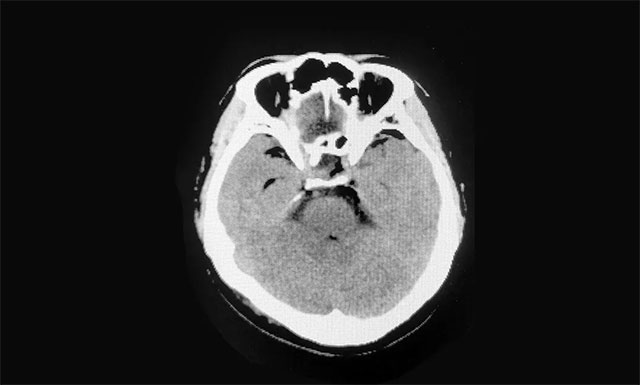
▲ 影像显示肿瘤有拳头大小
头颅磁共振检查显示,额部(中线处)见团状异常信号灶,矢横高径约5.8*5.5*5.4cm,周围脑实质受压移位,肿块向鞍内生长。
由潘仁龙主任、李士其教授、吴治群博士组成的专家组会诊后考虑为颅内胆脂瘤,并且患者颅内肿瘤变性坏死破裂进入脑室,造成了化学性脑室炎,使患者产生颅内高压症状(即刻腰穿,压力高达330mmH2O),诱发癫痫发作。专家组认为,患者病情加重,需尽快手术,缓解颅内高压症状,抑制癫痫发作,尽快缓解病情,挽救患者生命。
在充分准备并征得家属同意后,李士其教授在吴治群博士、黄秀夫医生协助下为患者行“幕上深部肿瘤切除术”,将肿瘤切除。一周后,患者张先生体温已恢复正常,头痛等不适症状消失,已可正常下地行走,目前正在康复中。

▲ 李士其教授正在为患者手术

▲ 术后影像显示肿瘤被切除
李士其教授指出,颅内胆脂瘤在早期通常没有什么特殊症状,随着肿瘤的不断增大,一般多在成人后出现临床症状。所以一旦发现,肿瘤往往较大。颅内胆脂瘤大多数表现为继发性三叉神经痛,极易误诊为原发三叉神经痛,当出现以上症状,而又迟迟找不到原因时,不妨通过颅脑核磁共振排除一下是否为颅内胆脂瘤。
如果出现三叉神经痛、复视、双影、听力下降、面部麻木、走路不稳等症状患者就要注意了,很有可能是脑中的肿瘤在作祟。因为良性肿瘤生长缓慢,早期无明显症状,但肿瘤生长到一定体积后,压迫神经就会出现上述的症状。目前,临床上对于颅内胆脂瘤的治疗以手术切除为主,且手术相对成熟。如果错过较佳救治时间,导致脑部出现积水等情况,就很可能给患者带来致命的伤害。
上一篇:中年企业主三夜不寐突发脑出血 术后直言“不敢再这么拼了” 下一篇:小儿频繁高热惊厥要注意,防止埋下癫痫隐患
11月22日至23日上午,由上海市社会医疗机构协会神经病学分会、上...【详细】


