《羊城晚报》曾报道:广州一位22岁的小伙子,通宵打游戏后睡醒发现右侧身体使不上力,到了医院,很快查出左侧大面积脑梗死,被诊断为脑卒中。
《长沙晚报》报道:34岁的阿文,他不抽烟,也不喝酒,但有高血压病史,也一直不重视,血压控制欠佳,平常熬夜打游戏、刷视频,最终诱发脑出血。
诸如此类的新闻屡见不鲜,微博“90后已成中风高发人群”的话题,阅读量已经超过2亿。
脑卒中俗称“中风”,是一种急性脑血管疾病,是由于脑部血管突然破裂或因血管阻塞导致血液不能流入大脑而引起脑组织损伤的一组疾病。通常分为缺血性和出血性两大类。脑卒中具有发病率高、复发率高、致残率高和死亡率高及经济负担高的“五高”特点,在我国,每12秒就有一人发生脑卒中,每21秒就有一人死于脑卒中……脑卒中已成为中国人第一大死因。

▲ 脑卒中已成为中国人第一大死因
中风并不是中老年群体的“专利”!
上海蓝十字脑科医院神经内科7A病区张静波主任介绍,尽管脑卒中的发病原因当中,年龄因素占主要位置,随着年龄的增长,脑卒中的患病率逐渐增高,高危率逐渐增高,但它并不是中老年群体的“专利”。脑卒中呈年轻化趋势,且年轻化趋势越发明显,发病率正逐年攀升,有些年轻人,可能才进入工作岗位,可能就突发中风,给个人、家庭和社会带来沉重负担。
国家卫健委脑卒中防治工程委员会组织专家编写的《中国脑卒中防治报告(2020)》显示,2019年新筛查出的卒中高危人群中,40岁至64岁人群占比为73.48%。如今,40岁以下的脑卒中患者也是屡见不鲜,说明脑卒中患者年轻化趋势明显。
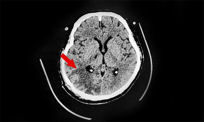
31岁的小王就是这样的年轻脑出血患者,入院诊断:脑出血、肺部感染、尿路感染、肝功能不全、低纤维蛋白原血症。神志浅昏迷状态,肢体活动障碍。家人介绍,小王工作繁忙,生活不规律,体重超标,并且还是一杆“老烟枪”,几乎每天一包烟,两个月前突发脑出血倒下。

▲ 右侧枕顶叶出血
青年人为什么被脑卒中缠身?
全球每年新增约200多万青年卒中患者,青年卒中的发病率呈明显上升趋势。青年脑卒中是指 45 岁以下(18-44岁)成人发生的卒中,占全部卒中的 5-15%。国内报道的青年卒中占全部卒中的13.44%,在35-45岁年龄段,脑血管病的发病率男性为18/10万-142/10万,女性为23/10-95/10万。卒中发病有年轻化趋势。[唐跃东, 董强. 青年脑卒中病因及危险因素的研究进展[J]. 中华脑血管病杂志:电子版, 2010, 4(3):6.]
张静波主任指出,青年人因劳累、熬夜、吸烟,应酬多及生活作息没有规律等不良生活习惯,造成不少人年纪轻轻便出现“三高”症状(高血压、高血糖,高血脂)。另外,有心脑血管疾病家族史、体型肥胖以及长期抽烟、缺少运动和心理压力较大者,都属于心脑血管疾病的高危人群。这些人群都易患脑卒中。
此外,还有一些比较少见的危险因素,如脑血管畸形或先天发育异常、血管损伤、感染等,在一定程度上也会增加了青年卒中发生的可能。
青年脑卒中的特点
1、发病以男性为主,多数为缺血性卒中,在18-44岁的年龄段中卒中的发病率随年龄增长而增长,年龄在40-44岁的患者占整个青年卒中患者的半数以上;
2、半数以上的青年卒中患者具有脑血管病的传统危险因素,如高血压、糖尿病和高脂血症等,而且对这些危险因素缺乏规范化的治疗;
3、相对中老年卒中患者,不良生活方式(如吸烟、酗酒等)在青年卒中患者的发病中起到了更重要的作用;

▲ 保持健康饮食、生活方式
4、有早发的心脑血管病的家族史;
5、青年卒中危险因素列前三位的是高血压、吸烟及饮酒;
6、偏头痛、吸烟及口服避孕药是青年女性缺血性卒中最主要的三大危险因素。
青年人如何预防脑卒中
张静波主任表示,虽然先天性的危险因素,如先天性脑血管畸形、脑淀粉样血管病,是不可预防和控制的,但多数后天病因及危险因素是可预防和可控的,例如高血压、糖尿病、吸烟、饮酒等。因此尽早发现那些先天性因素,同时对那些后天可控因素进行早期预防与干预具有重要意义。
1、知晓自己的危险因素(及时检查),注意预防。
2、摒弃不良生活方式(如吸烟、酗酒等)。
3、重视高血压的处理,提高对高血压危害的认识及对高血压药物治疗必要性的理解。
4、对于女性偏头痛和口服避孕药需要重视。
5、青年人生活和工作压力大,高热量饮食、熬夜以及缺少体育锻炼等不健康生活习惯也是导致青年卒中的危险因素,因此减压和加强体育锻炼也是重要的预防措施。
牢记“中风120口诀” 赢得抢救时间
快速识别症状,是脑卒中救治的第一步,也是赢得抢救时间的关键。因为脑卒中发生时,脑细胞会以每分钟190万个的速度坏死,尤其是发病时间超过4.5小时后,脑细胞就会出现不可逆转地死亡。
因此,把握时间窗至关重要,针对占脑卒中发病率70%左右的急性缺血性脑卒中(脑梗死),要在发病4.5小时内尽可能静脉溶栓治疗,在发病6-8小时内,到有条件的医院可进行适当的急性期血管内干预,以挽救位于缺血半暗带里濒临死亡的脑细胞,从而大幅度减少脑梗死的致残率及致死率。

▲ 牢记“中风120口诀”
为此,张静波主任推荐大家熟记“中风120”口诀:“1”指看一张脸,是否有不对称、口角歪斜等情况;“2”是指查两只胳膊,平行举起时是否有单侧无力等情况;“0”为聆听语言,是否有言语不清,表达困难等症状。一旦发现符合“中风120”口诀的情况出现,需立刻拨打120急救电话,在最短时间内将患者送入具有“卒中绿色通道”医院进行救治。
版权声明:部分图片源自摄图网,如有版权纠纷,请及时联系医院。一经查实,将立即删除。
上一篇:熬夜影响免疫系统可提高新冠重症风险!不仅如此,它还会导致其他疾病 下一篇:哈欠连天、昏昏欲睡……当心披着“春困”外衣的脑卒中
11月22日至23日上午,由上海市社会医疗机构协会神经病学分会、上...【详细】


