“以前都说老百姓看病难,就医难,妈妈你居然到中国最大的城市,找了最好的专家来给你手术,不用开颅就把脑瘤切除,真是太厉害了。在出院之前,你应该找李士其教授要一个签名的。” 这是在患者郑钰玲(化名)做完手术后,她正在读高中的女儿在电话中如此打趣。
其实,让郑钰玲惊喜的是:她在蓝十字脑科医院体验到什么才是真正的微创手术。她说:“查出垂体瘤三年多,服药三年多,肿瘤越长越大。而这次手术能有李士其教授亲自主刀, 我是非常幸运的。”
莫名溢乳发现病变
郑钰玲是福建省某乡镇中学的代课老师,在讲台上站了十几年的她在同事和学生的眼中一直是风风火火,嗓音洪亮,身体倍棒的。可是在2014年的春天,不知是何原因,郑老师突然出现了溢乳和月经不调的现象。在爱人的陪伴下,郑钰玲到当地医院做了检查,结果出来后,医生说可能是脑子里长了垂体瘤。

郑钰玲老师和学生交流
这个检查结果让郑钰玲有点意外——自己从小到大身体都非常好,作为教师,每年都会参加职工体检,自己家族也没有垂体瘤的病史。到底是咋回事呢?怀着一丝不安和担忧,郑钰玲请假到福州某大医院做了检查确诊,结果的确是垂体瘤。
因为肿瘤尺寸较小(直径<1公分),在医生的建议下,郑钰玲开始了长达三年的服药生涯,并且每隔半年去医院做一次复查。
经过药物的干预,溢乳的症状消失,月经也回归正常。不过随着时间慢慢推移,郑钰玲有时会觉得浑身无力,精神倦怠,情绪也变得暴躁, 一开始她认为可能是自己工作辛苦导致的,后来随着症状加重,休息也不能缓解,她才开始怀疑是不是垂体瘤的另一种表现。
服药三年病情突加重
就这样平稳度过了三年,除了每天按时服药,郑钰玲一直把心思放在工作上。到了17年4月份的时候,距离学生中考的日子也越来越近,可是郑老师又出现了头痛。有时候,正在给学生上课,头痛就会发作,每次发作的时间或长或短,发作也毫无规律可言。爱人劝她请假休息,可是作为班主任,一想到学生中考的事,郑老师就咬牙坚持。
后来,中考结束了,学生们考的还不错,这让郑钰玲稍感欣慰。心里的石头终于落地了,郑钰玲想着自己借着暑假终于可以好好休息一下了,可是万万没有想到:头痛越休息越严重。 “躺在床上,越躺头越疼,疼起来感觉头要炸裂了一样。我知道一定是有问题了,绝不仅仅是劳累的原因。”
伴随着头痛加重,恶心干呕的症状也随之而来。再次来到医院,医生见到她笑着说:“3月份刚刚做的核磁共振,没事,还是过一段时间再来复查吧。” 可是郑钰玲坚持要做检查,结果出来后,果然病情有变:垂体瘤长大了,从微腺瘤变成了大腺瘤(垂体瘤超过1公分就是垂体大腺瘤)。
找垂体瘤领域的权威专家
郑钰玲以为吃药就可以把肿瘤治好了,没想到肿瘤又长大了。这个结果既在意料之中,又在意料之外。 当地医生告诉她:现在鞍区占位明显,压迫严重,必须要做手术才能解决问题。不过垂体瘤手术不是一般的简单手术,比较复杂,还是找业内的权威专家做比较好。
“原本找了军区某医院的一个专家做手术,可是亲戚知道我要做手术的事情之后,强烈建议我到北京或上海找专家做。在亲戚眼里,脑瘤手术都是要开颅的,而在脑子上动刀子这么严重的事一定要到北京和上海才能让人放心。”事后,郑钰玲这么告诉小编。
听从了亲戚的建议,郑钰玲和爱人来到上海,开始到处打听,托关系,找熟人,后来几经辗转,来到蓝十字脑科医院。不为别的,因为李士其教授在垂体瘤手术方面就是权威。
不开颅经蝶窦微创手术将肿瘤切除
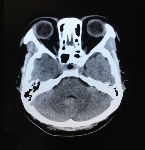
在医院神经外科潘仁龙主任的安排下,郑钰玲又做了检查,发现垂体瘤又长大了,大小是1.9*1.5*1.7公分,而且超蝶鞍生长。完善血尿常规,生化,凝血,心电,彩超等各项检查之后,未发现手术禁忌。潘仁龙主任和李士其教授又进行了会诊和术前讨论。

术前影像:垂体大腺瘤,超蝶鞍生长
待准备就绪后,1月3日上午, 郑钰玲被送进了手术室。麻醉顺利后,李士其教授采用经蝶窦微创手术方式,在显微镜下,从右侧鼻腔入路,在窥镜下找到蝶窦开口... 分块吸除淡黄色的肿瘤组织,切除完毕后,止血复位。 整个手术不到一小时就完成,术中仅出血10毫升。术后患者被医护人员唤醒,安全送入ICU(重症监护室)病房。

李士其教授在德国蔡司双荧光显微镜下手术
在被问及手术后是否有疼痛和不舒服的时候,郑钰玲老师笑着说:不痛,从手术室出来时,家人和我说话,我都知道,意识很清楚。就是鼻子里有点塞住的感觉,像感冒一样,后来把海绵拿掉就好了。


做完手术后,恢复良好,和医生开心交流
其实,这就是经鼻蝶窦入路切除垂体瘤手术的优势所在——不用开颅,手术时间短,创伤小,患者痛苦小,术后愈合时间缩短,不会留下伤痕,手术后的并发症和感染率也大大降低。
术后10天即出院
手术后第二天,郑钰玲老师饮食恢复正常,第六天,郑钰玲老师开始下床活动。她说:其实觉得早就好了,只是医生要求,非要在床上多躺几天,免得出现意外。

术后影像:两侧大脑,小脑及脑干形态如常,脑沟脑池未见异常
认真休养一周之后,郑钰玲老师身体恢复很快,在出院前,她和爱人为医护人员送上鲜花表示感谢。一转眼,求医几个月,学校的校领导,郑钰玲老师的学生和女儿都在等着她回去。今年可以一家人开心健康的过春节,年后郑钰玲老师又可以登上心爱的讲台啦。

郑钰玲老师和爱人与医护人员合影
科普:经鼻蝶窦入路微创切除垂体瘤
经鼻蝶窦入路切除垂体瘤适用于各种垂体微腺瘤和大腺瘤。它突破了传统开颅手术的弊端,运用神经内镜,鼻窦内窥镜等手段,借利用鼻腔天然通道,经蝶窦微创直达垂体切除肿瘤。这种手术方式明显降低了对脑组织、脑神经和血管的损伤,微创切除垂体瘤,对垂体柄等重要结构的保护更为可靠,效果更好。
现在随着神经外科的发展及其进步,经鼻蝶切除垂体腺瘤已经广泛应用于临床。经鼻蝶入路切除垂体瘤具有手术时间短,病人损伤小,不会对外貌产生影响,病人愈合时间缩短,住院费用少,并发症少等优点,已经成为垂体瘤优先选用的治疗方法。
此文章仅作为临床学术研究、学术交流使用!
上一篇:遇车祸却查出胆脂瘤“祸不单行” 看蓝十字如何诠释“因祸得福” 下一篇:高质量服务获点赞 蓝十字助力听障儿童重建听的希望
11月22日至23日上午,由上海市社会医疗机构协会神经病学分会、上...【详细】


