您当前的位置:主页 > 科研教学 > 专业交流 >

喉咙痛竟是心梗前兆?心血管内科专家张庆成博士提醒:高温天气高发,警惕这些不典型症状!

日期:2025-09-08 来源:上海蓝十字脑科医院 进入脑科疾病答疑区

医院公告 我院为上海市医保定点单位 如以下文章有不明之处 可以点击客服服务,一对一为您解答!

  《上观新闻》2025年9月1日报道,今年,上海首次出现8月中下旬高温大满贯,上海今年8月高温总日数达27天,超过2024年刚创的26天的纪录,成为1873年以来高温最多的八月。预计9月3日以后,副热带高压会再度加强,高温天气也将随之“返场”,重回35℃高温线,上海将遭遇罕见“秋老虎”天气。持续酷热不仅让人体感不适,更为冠心病患者带来一场无声的“心血管考验”。

  喉咙痛以为是小病 背后竟是心梗危机

  《新民晚报》2025年8月20日报道,61岁的卞先生,前几天夜里突然感觉喉咙痛,一开始,他没太在意,毕竟以前也有过喉咙痛的情况,以为就是普通的上火或者炎症。可这次疼痛越来越剧烈,实在受不了了,卞先生才在家人陪伴下去了当地医院。谁能想到,刚输上液,他就突然眼前一黑,晕了过去,心脏骤停。医生们迅速展开抢救,经过一系列检查,确诊卞先生是急性心肌梗死。

  上海蓝十字脑科医院8A神经内六科主任、心血管内科专家张庆成博士指出,很多人认为冬季才是心血管疾病的“高发期”,误以为夏季相对安全。事实恰恰相反——夏季高温对心血管的威胁更为隐蔽和持久,危险程度甚至更高。心血管疾病患者夏季更应提高警惕,采取科学防护。

▲ 张庆成博士在开展学术讲座

  为什么夏季更易发生心梗?

  心肌梗死,即“心梗”,是由于冠状动脉(心脏供血血管)因粥样硬化等原因突然严重狭窄甚至阻塞,导致心肌严重缺血、缺氧而坏死的危重疾病。该病可引发心力衰竭、恶性心律失常、心源性休克乃至猝死,病情进展迅猛,危及生命。

  张庆成博士表示,最高气温每上升1℃,心脑血管疾病发病风险约增加6%。夏季心梗高发主要与三大因素相关:

  大量出汗导致血液浓缩、黏稠度升高,易形成血栓;

  炎热引起外周血管扩张,血压下降,冠状动脉供血减少;

  高温导致交感神经兴奋,心率加快、血压上升,心肌耗氧量增加,心脏负荷加重。

  不典型症状易被忽视,及时识别是关键

  心梗最典型的症状是剧烈胸痛,多位于胸骨后或心前区,表现为压榨性、紧缩性或烧灼样痛,常持续超过15~30分钟,休息或含服硝酸甘油无法缓解,多伴有大汗、恶心、呕吐、呼吸困难或濒死感。

  但张庆成博士特别提醒,心梗不一定表现为胸痛,心脏缺血时疼痛可能“蔓延”至其他部位,如卞先生所表现的喉咙痛。还有患者会出现头痛、后背痛、颈痛、牙痛,甚至恶心呕吐等类似胃肠炎的症状。尤其是有高血压、糖尿病等基础疾病者,若出现不明原因的上半身不适,伴随头晕、冷汗,需高度警惕心脏问题。

▲ 警惕头痛、颈痛等心梗不典型症状

  把握“黄金120分钟”,心梗急救必须争分夺秒

  从血管阻塞到心肌开始坏死仅约30分钟。再灌注治疗(开通血管)的黄金时间窗为发病后120分钟内,每延迟一分钟,心肌坏死增多,死亡风险大幅上升。

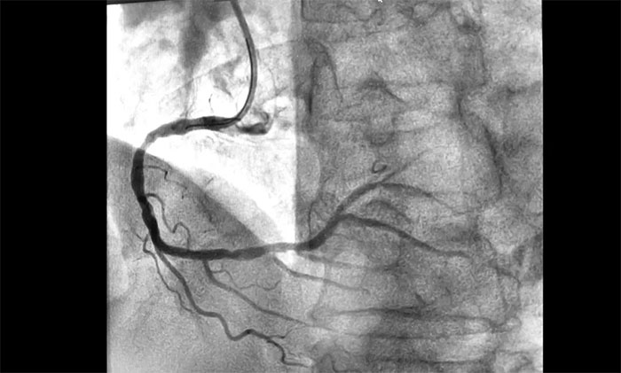
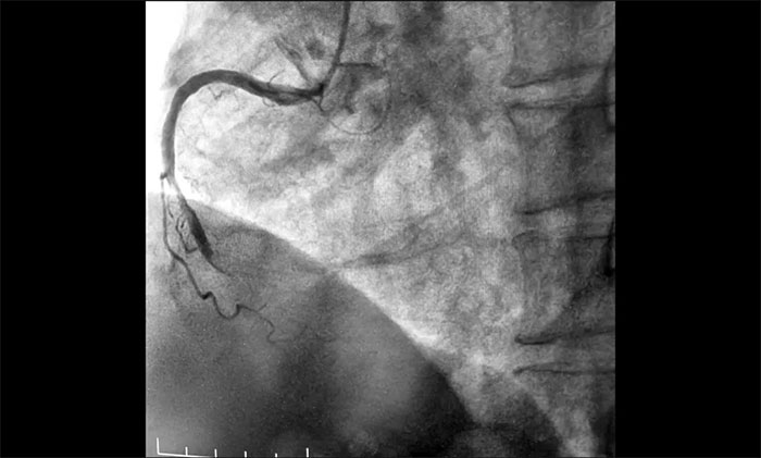
  近日,上海蓝十字脑科医院为一名急性心梗患者实施介入手术。该患者因“间断心前区不适伴咽部束缚感7小时,全身乏力3小时”入院,综合其病史和相关检查确诊其为急性下壁心肌梗死,随时有猝死风险,手术指征明确。经球囊扩张和支架置入,开通闭塞血管,助其恢复心肌供血。

▲ 术前,前降支、回旋支、右冠状动脉严重狭窄及完全闭塞

▲ 术后,血管顺利开通

  若疑似急性心梗,请立即采取以下措施:

  1. 立即拨打120;

  2. 让患者静卧休息;

  3. 保持其呼吸道通畅;

  4. 谨慎用药:如患者清醒且无低血压等禁忌,可在医务人员指导下舌下含服硝酸甘油(最多3片,每5分钟1片);如无阿司匹林过敏或无活动性出血,可嚼服300mg阿司匹林;

  5. 尽量安抚患者情绪;

  6. 做好心肺复苏准备(CPR)。

  夏日护心指南:科学预防远离心梗

  科学补水:高温天应少量多次饮水,每日不少于2000毫升,可选择白开水、淡盐水或绿茶,避免含糖饮料和酒精饮品。不可一次性大量饮水,以免血压骤降。

  饮食清淡:多摄入新鲜蔬果(如黄瓜、番茄、苹果、香蕉),补充维生素和矿物质;减少高盐、高脂、高糖食物;保证优质蛋白如鱼、虾和豆制品。

  适度运动:选择清晨或傍晚进行散步、慢跑、太极拳等低强度运动,时长约30分钟,每周3~5次,运动时注意补水防暑。

  避免温差剧烈:室内外温差不宜超过8℃,避免长时间待在空调房,定时通风。从外进入室内应先适应温度过渡,避免血管骤然收缩。老年人建议洗温水澡。

  定期监测血压:尤其夏季血压易波动,应早晚各测一次并记录,异常时及时就医。严格遵医嘱服药,不随意停药或调量。

  版权声明:部分图片源自摄图网,如有版权纠纷,请及时联系医院。一经查实,将立即删除。

  专业指导:张庆成 主任医师 教授 医学博士

此文章仅作为临床学术研究、学术交流使用!

上一篇:健康科普 | 视力骤降、头痛不止?警惕巨大垂体瘤!李士其教授详解手术禁区攻坚策略 下一篇:卢云鹤博士:脑出血并非中老年“专利”,年轻人莫名头痛需警惕
医院简介专家教授科室介绍医院荣誉医学百科就医指南上海蓝生脑科公司