您当前的位置:主页 > 科研教学 > 专业交流 >

头晕呕吐难自理!伽玛刀治疗让她再度“载歌载舞”

日期:2022-11-01 来源:上海蓝十字脑科医院 进入脑科疾病答疑区

医院公告 我院为上海市医保定点单位 如以下文章有不明之处 可以点击客服服务,一对一为您解答!

  乳腺癌,常被称为“粉红杀手”, 是中国女性发病率最高的癌症,癌症死亡原因位居第六。

  乳腺癌威胁女性健康

  世界卫生组织数据显示,中国女性乳腺癌发病例数占全球发病总数的11.2%,仅次于美国,死亡例数比例达到9.2%。我国国家癌症中心的数据显示,我国乳腺癌发病率正以每年2.5%的速度递增。

  北京和上海的数据显示,乳腺癌有两大发病高峰:第一个出现在45-55岁之间;另一个出现在 70-74 岁之间,并且诊断为乳腺癌的中位年龄有逐渐增大的趋势。

  当乳腺癌进行到晚期,出现远处器官的转移后,易引发不同的临床症状。例如,脑转移患者就会出现颅内压升高的症状,如头疼、喷射性呕吐等。

  大量临床实践证明,放疗对于脑转移有较好的疗效,可以显著改善症状和提高生活质量。51岁的王女士就是现代放疗技术——伽玛刀治疗下的一位受益人。

  脑转移后身体日渐衰落

  去年底,王女士在无明显诱因的情况下,出现头晕头痛、恶心呕吐、肢体乏力。因为之前得过乳腺癌,所以当她在当地医院查出右脑枕顶叶肿瘤时,医生结合她既往乳腺癌伴肺转移的病史,直接考虑为乳腺癌脑转移瘤。

  这一结果无论是对王女士,还是对其家属来说,都犹如晴天霹雳。于他们而言,转移就意味着痛苦和不幸,更何况是脑转移。这简直是要人命的事情!

  在医生的建议下,王女士接受了药物保守治疗,但控制效果并不理想。不能进食,进食即吐,身体也越来越虚弱,连路都走不了,只好坐进了轮椅,到最后甚至连生活自理的能力都一并失去了。

  看着王女士的身体状况一天比一天糟糕,医生也只能建议家属尽快寻找上级医院,评估接受放射治疗的可行性。

  “看到了希望的曙光,哪能轻言放弃!”回想当时的情形,王女士的家属感慨万千。多亏了亲友的推荐,才让他们得以了解到上海蓝十字脑科医院,才让他们得以遇见专业的医生团队和先进的放疗设备,才让他们得以有进一步治疗的可能。

  “双管齐下”遏制病情进展

  入院后,肿瘤科(放疗)头部伽玛刀组主任陈琦,在详细了解王女士的既往病史后,有针对性地完善了相关检查。在这期间,王女士出现持续头晕、呕吐症状,情况不容乐观,家属十分担心。

▲ 陈琦主任分析患者病情

  经过一系列抽丝剥茧的探查,诊断逐渐明确后,陈主任结合病情特点和影像检查结果,为王女士制定了科学、个性的治疗方案。同时,他还极力宽慰王女士及其家属,让他们保持良好心态,积极配合治疗,并为他们深入浅出地讲解了伽玛刀的治疗步骤和过程。

  第一步,通过立体定向穿刺,引流病灶区域的坏死囊液,快速缓解由病灶占位效应引起的颅高压症状及神经功能障碍。

▲ 安装头架

▲ 立体定向穿刺引流

  第二步,开展头部伽玛刀治疗,通过高能伽玛射线照射病变组织,毁损靶区肿瘤组织。

▲ 开展头部伽玛刀治疗

  经过“双管齐下”的治疗,癌细胞的发展与扩散得到了有效控制,肿瘤占位效应减少,各种临床症状也得以快速缓解。经过一段时间的康复治疗后,王女士头晕、呕吐等症状明显好转,最终顺利出院。

  “刚来医院时,她坐轮椅都会感到头晕恶心,现在已经行动自如了!”王女士的家属开心地说。大家都说,曾经那个喜欢“载歌载舞”的大姐又回来了。

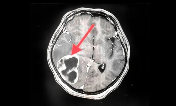
▲ 刚入院时病灶影像

▲ 完成穿刺,黑色囊液被顺利引流

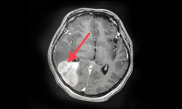
▲ 经复查,病灶较前明显缩小

  按照肿瘤复查的标准,复查影像显示王女士颅内病灶相较于来院时明显缩小。家属为此特意向陈琦主任致谢,并对医院的治疗和服务表达了充分肯定。

▲ 家属对陈主任表示感谢

  定期筛查 科学施治 预防控制乳腺癌

  陈琦主任提醒,预防乳腺癌定期筛查很关键。早期发现是所有癌症降低死亡率的有效方式。随着医学进步,96%以上的乳腺癌都是可以治疗的,只要早期发现,还能免除乳房切除的痛苦。

  对于一般女性来说,建议20岁后每月1次乳腺自查;20~29岁每3年1次临床体检;30岁后每年1次临床体检;从35岁开始,每隔一年做一次钼靶检查;40岁后,每1~2年做一次钼靶检查;60岁后,可隔2~3年检查一次钼靶。建议所有30岁后的女性,每年做一次超声检查。对于一些乳腺癌高危人群,请在医生指导下,尽早尽速开始筛查。

▲ 玛西普新一代头部伽玛刀

  最后,陈琦主任特别强调,一旦发现乳腺癌转移,哪怕是脑转移,也不必过于惊慌。随着医疗技术的不断发展进步,医生会根据乳腺癌患者不同的分子分型、肿瘤大小、数量、位置以及患者自身身体状况等多种因素综合评估,以拟定相应合适的治疗方案和计划。

  科学合理的治疗手段,不仅可以减轻病痛、改善生活质量,而且可以有效延长患者的生存期。

  部分数据来源于《中国青年报》2020.11.16.

  版权声明:部分图片源自摄图网,如有版权纠纷,请及时联系医院。一经查实,将立即删除。

此文章仅作为临床学术研究、学术交流使用!

上一篇:7旬老翁口腔内出血不止 介入栓塞颌内动脉成功止血 下一篇:神经电生理监测下 李士其教授团队成功切除“鹅蛋大”胶质瘤
医院简介专家教授科室介绍医院荣誉医学百科就医指南上海蓝生脑科公司