在日常生活中,人们有时会因为一些意外情况无意间被硬物撞击到头部,刚开始也许没有什么明显不良反应,可是过了一段时间就出现头痛头晕等症状。此时就要当心了,也许“硬膜下血肿”已经找上门来了。
易被忽视的硬膜下血肿
提到“脑出血”,大家应不感到陌生,对其危害性也有所了解。但对于“硬膜下血肿”可能就不熟悉了。
硬膜下血肿 (Subdural Hematoma) 指位于硬脑膜与蛛网膜之间,具有包膜的血肿。是颅脑损伤常见的继发性损害,出血来源多为脑皮质的血管撕裂,可伴有脑挫裂伤或脑内血肿。

▲ 头部遭撞击或引起硬膜下血肿
上海蓝十字脑科医院神经外科6A病区侯增欣主任介绍,根据血肿形成时间和临床表现,硬膜下血肿可分为急性、亚急性和慢性三型:
①急性硬膜下血肿:指发生于3天之内者,最为常见。其中复合型常为脑挫裂伤直接造成皮质血管破裂引起出血,发展迅速,预后较差;
②亚急性硬膜下血肿:形成于伤后4天至3周,原发脑损伤常较轻,常为皮质小血管撕裂,出血较缓慢;
③慢性硬膜下血肿:形成于伤后3周以上者,多见于中老年人。常为桥静脉断裂出血,一般不伴有脑挫裂伤,出血量少而慢,缓慢扩散。
硬膜下血肿主要跟颅脑外伤有关,多发于小儿和老年人群。有的仅有轻微头部外伤史,部分患者甚至由于外伤过轻而否认或遗忘外伤史。
除较为严重的急性硬膜下血肿外,此病早期临床症状较轻,但当血肿达到一定量后,颅内压持续增高,脑组织被挤压变形,症状迅速加重。而在经影像检查明确诊断之前,常易误诊为偏头痛、颅内肿瘤、脑卒中、神经衰弱等其他疾病。
临床表现各异 严重者可致命
侯增欣主任指出,该病临床病程发展的快慢,依据脑原发损伤的轻重、出血量及个体代偿能力差异而有所不同。患者临床表现各异,可从无症状到意识丧失。
①急性硬膜下血肿:病情大多较危重,且发展迅速,常表现为持续性昏迷,并呈进行性恶化,较少出现中间清醒期,生命体征变化明显,常缺乏局部定位症状,较早出现颅内压增高、脑受压和脑疝症状。
②亚急性硬膜下血肿:常表现为头痛、呕吐加剧,躁动不安及意识状态进行性恶化。常有中间清醒期,至脑疝形成即转入昏迷。
③慢性硬膜下血肿:此类患者年龄往往较大,只有轻微的外伤史,主要表现为慢性颅内压增高、神经功能障碍及精神症状。
侯增欣主任表示,对于急性硬膜下血肿,伤后6小时内手术清除血肿,可降低病死率,提高功能恢复率。对于亚急性和慢性硬膜下血肿患者来说,一旦出现颅内压增高症状,即应施行手术治疗,而且首选的方法是钻孔引流,如无其他并发症,预后多较为良好。
阿婆撞到额头 意外查出大问题
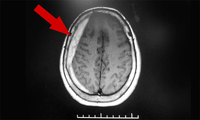
今年6月,82岁的金阿婆(化名)因脑梗至上海某医院救治,所幸没有大碍。然而到了9月份,金阿婆感到持续性头痛发作,且有不断加重的趋势。她以为脑梗又犯了,便慕名来到上海蓝十字脑科医院寻求进一步治疗。医院神经内科专家李淑琴医生在门诊为金阿婆完善相关影像学检查后发现,患者右侧额颞部颅骨内板下方呈新月形高密度影,是硬膜下血肿的典型影像表现。

▲ 患者右侧额颞部颅骨内板下方呈新月形高密度影
此时,患者却因有其他原因离开了医院,李淑琴立即通过电话联系患者和其家人,同时联系到神经外科6A病区侯增欣主任进一步读片分析。经电话里再三询问,金阿婆这才想起大约在来院前一周,有一天在淋浴洗澡时,脚下打滑额头不慎撞到淋浴房的玻璃移门,由于当时没有明显的不良反应,就没有太在意。
侯增欣主任结合患者病史陈述及影像学检查后诊断为——亚急性硬膜下血肿。当被家人送回上海蓝十字脑科医院并收治于神经外科6A病区后不久,金阿婆便开始出现意识模糊等危重症状况。侯增欣主任团队紧急讨论评估后认为,患者血肿面积较大,且症状不断加重,需立即进行手术治疗。

▲ 侯增欣主任团队在手术
在排除手术禁忌,明确告知家属手术风险并获得签字同意后,侯增欣主任为患者开展了颅骨钻孔引流手术。手术进展顺利,术后患者未出现明显并发症,意识正逐步恢复清醒。
对于医院门诊李淑琴医生及时发现异常,神经外科侯增欣主任当机立断安排手术救治,金阿婆的家人表达了由衷的谢意。

▲ 术后,患者硬膜下血肿已被引流清除
侯增欣主任提醒,硬膜下血肿造成的脑损伤往往是不可逆的,如果得不到及时有效的治疗,可对患者的健康和生命构成严重威胁。由于行动不便、骨质疏松等问题,老年人生活中很容易遇到不经意的头部碰撞外伤,由于受伤时症状不明显,自己和家人都容易忽视。因此老年人在外出和行动时,最好有人陪伴,尽量避免头部磕碰、撞击。碰撞后一旦出现头痛等症状应及时就医,并主动告知医生相关情况,以免耽误救治而引起严重后果。

11月22日至23日上午,由上海市社会医疗机构协会神经病学分会、上...【详细】


