您当前的位置:主页 > 科研教学 > 专业交流 >

老人跌倒莫大意 警惕中枢神经系统常见疾病——慢性硬膜下血肿

日期:2024-11-27 来源:上海蓝十字脑科医院 进入脑科疾病答疑区

医院公告 我院为上海市医保定点单位 如以下文章有不明之处 可以点击客服服务,一对一为您解答!

  慢性硬膜下血肿(CSDH),是中老年人常见的中枢神经系统疾病之一,血肿位于硬脑膜与蛛网膜之间,具有包膜。该病呈缓慢进展,随着血肿逐渐扩大,压迫脑组织,可引发头痛、认知功能障碍、偏身肢体乏力等症状。

  在老年人群体中,慢性硬膜下血肿往往和意外跌倒有关。《中国慢性硬膜下血肿药物治疗专家共识》指出,慢性硬膜下血肿一般认为由外伤引起,是血液集聚在蛛网膜与硬脑膜之间形成的慢性占位性病变,常在头部外伤3 周以后形成。其发病率为1/10~13.1/10万人口,随着人口老龄化,CSDH的发病率不断升高,80岁以上老年人年发病率可达127/10万人。

  中国山东网—感知山东2021年12月16日讯,88岁的李大爷外出遛弯时不小心摔了一跤,撞到了头部。他伸手摸了摸撞到的地方,没有破皮流血,就站起来拍了拍屁股,伸了伸腿,感觉腿也不疼,便自己走回了家。

  随后的一段时间,李大爷感觉自己走路有点不稳,起初他也没在意,可是过了二十多天,他的症状仍然没有好转,被家人送至当地医院就诊。经过详细检查,结果李大爷被诊断为双侧慢性硬膜下血肿。

  上海蓝十字脑科医院【同济大学附属上海蓝十字脑科医院(筹)】神经外科学术副院长兼6A神经外一科主任于耀宇表示,慢性硬膜下血肿是一种颅内出血性疾病,发病隐匿,进展缓慢。当血肿增大引起颅内压增高时,常常出现头痛、头晕或肢体活动障碍等临床表现。

  由于行动不便、骨质疏松等等问题,老年人日常生活容易出现意外磕碰跌倒,如果外伤程度轻微,往往不会引起重视。通常,硬膜下血肿其病程可以达到数月甚至数年,由于病史较长,很多患者可能都无法准确回忆外伤病史,直至血肿程度不断增加,引起了相应的体征表现,才得以治疗。

  长期以来,对于有症状CSDH的治疗,主要是通过颅骨钻孔或开颅手术来清除积血。尽管手术可以缓解症状,但单纯采用上述手术方式的复发率较高。尤其是对于高龄患者而言,手术耐受性和手术风险是医生难以回避的挑战。

  2024年发表于《中国神经精神疾病杂志》的《慢性硬膜下血肿诊治进展》(作者:黄钦江,洪伟,李锐等)指出,CSDH单纯采取钻孔引流术,术后复发率为10.7%~14%,死亡率为 3.5%~12%。尤其是年龄大于90岁的患者,总体有效率仅为24%。部分患者由于长期服用抗凝或抗血小板药物,存在手术禁忌。

  随着微创介入治疗技术的快速发展,脑膜中动脉栓塞术应运而生。其原理是基于CSDH的形成与血肿包膜上脆弱的毛细血管血液渗漏有关,而这些毛细血管的供血来源于脑膜中动脉。因此,通过阻断脑膜中动脉的血液供应,从源头上“断流”,促使血肿逐渐吸收,防止疾病加重和复发。

  手术通过手腕部桡动脉或腹股沟部股动脉穿刺置鞘,将微导管输送至脑膜中动脉,然后使用专用胶、栓塞颗粒或弹簧圈等材料闭塞动脉,达到治疗目的。相较于传统手术,脑膜中动脉栓塞术是一种微创介入手术,具有创伤小、术中出血少、局麻下可完成等特点。

  援引《慢性硬膜下血肿诊治进展》的表述,一项来自200例患者的系统评价研究结果显示,栓塞后CSDH复发率相对较低,为3.6%,无明显并发症。

  近期,于耀宇主任率团队顺利完成三例脑膜中动脉栓塞手术。其中,年过七旬的男性患者陈某(化名),今年8月下旬因肢体无力摔倒,左眉弓受伤。后患者意识状态逐渐变差,吞咽饮食困难,呼之反应差,无法下床活动,家人遂将其送至上海蓝十字脑科医院。

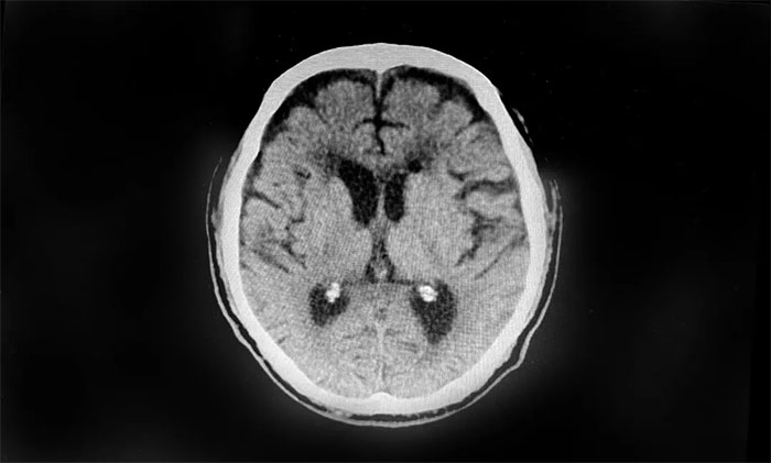
  行颅脑CT检查,患者双侧额颞枕顶部可见硬膜下积液血肿,双侧额叶受压明显,不排除积液血肿进一步加重。若不及时手术治疗,病情可能进一步恶化,甚至可能危及生命。

▲ 患者双侧额顶部硬膜下积液血肿明显

  于耀宇主任团队根据患者病情和检查结果综合研判,为患者制定了“先堵后疏”的“脑膜中动脉栓塞+钻孔引流”微创复合手术方案。9月4日,于耀宇主任先为患者行“脑血管造影+经导管脑膜中动脉栓塞术”,栓塞脑膜中动脉以阻断慢性硬膜下血肿的血供,减少硬膜下积液产生及血肿生成,促进积液及血肿吸收,降低复发及出血率。

▲ 术后复查,血肿得到明显改善

  待病情稳定并评估后,近期,于耀宇主任又为患者开展了双侧“硬脑膜下钻孔引流术”,促使硬膜下积存的大量血肿快速排出,解除脑组织压迫,缓解头晕、肢体乏力等症状。术后,患者健康状况平稳,病情正逐渐好转。

  部分内容参考来源:《中国慢性硬膜下血肿药物治疗专家共识》、慢性硬膜下血肿诊治进展(《中国神经精神疾病杂志》,2024,50(1):33-38);科普中国等。

  版权声明:部分图片源自摄图网,如有版权纠纷,请及时联系医院。一经查实,将立即删除。

此文章仅作为临床学术研究、学术交流使用!

上一篇:席刚明教授:双侧颈动脉重度狭窄的治疗策略 下一篇:上海蓝十字脑科医院|长时程外引流在神外脑脊液管理应用病例分享一例和思考
医院简介专家教授科室介绍医院荣誉医学百科就医指南上海蓝生脑科公司