当今社会,科技水平越来越高,医疗技术日新月异,一些高端医疗检测也越来越亲民化。譬如颈动脉超声检查,已成为很多追求高品质生活人士的必选检查项目。颈动脉斑块、颈动脉硬化、颈动脉狭窄等的检出,也及时为他们拉响了高危健康风险的警报。
颈动脉狭窄与动脉粥样硬化密切相关
在人体中,颈动脉就像一条“主干道”,将血液源源不断地输送到大脑,其重要性不言而喻。颈动脉狭窄,顾名思义,是颈部大动脉血管管腔变窄的一种疾病。
研究表明,90%以上的颈动脉狭窄与动脉粥样硬化有关。颈动脉粥样硬化早期,往往表现为血管内膜——中膜增厚,后逐渐形成粥样硬化斑块,在此基础上出现斑块内出血、斑块破裂脱落、附壁血栓形成及血管狭窄等。

▲ 相关研究发表于《欧洲心脏病杂志》
2017年发表在《欧洲心脏病杂志》的一项中国慢病前瞻性研究显示,中国有三分之一成人存在颈动脉粥样硬化斑块。随着年龄的增长,颈动脉斑块的发生率越来越高。
流行病学调查数据显示,我国40岁以上人群颈动脉粥样硬化斑块检出率为40%,60岁以上人群颈动脉粥样硬化斑块检出率则高达90%。其中,以高血压、糖尿病病史人群,吸烟人群,血脂控制不佳人群好发。
颈动脉狭窄是脑卒中重要诱因
当血液流经颈动脉狭窄部位时,血流量受阻甚至完全堵塞,使供应大脑的血流越来越少,造成脑缺血、脑供氧不足。

临床上,颈动脉狭窄通常可分为无症状性和有症状性两种:
一、无症状性颈动脉狭窄
许多颈动脉狭窄患者临床上无任何神经系统的症状和体征。有时仅在体格检查、颈部超声时发现颈动脉搏动减弱或消失,颈根部或颈动脉行经处闻及血管杂音。
二、有症状性颈动脉狭窄
a.脑部缺血症状:可有耳鸣、眩晕、黑朦、视物模糊、头昏、头痛、失眠、记忆力减退、嗜睡、多梦等症状。
b.短暂性脑缺血发作(TIA):局部的神经功能一过性丧失(临床表现为一侧肢体感觉或运动功能短暂障碍),一过性单眼失明或失语(一般是短暂性、可逆性的,仅持续数分钟,一般发病后24小时内恢复)等。影像学检查无局灶性病变。
c.缺血性脑卒中:通常表现为一侧肢体感觉障碍、偏瘫、失语等脑组织损伤的症状,严重者甚至出现昏迷,危及患者生命。

值得注意的是,近年来,脑卒中已成为我国城乡居民第一位死亡原因。缺血性卒中的发病率高于出血性卒中,占脑卒中总数的60%~70%。《中国脑卒中防治报告(2018)》数据显示,50%-75%的缺血性卒中与颈动脉狭窄有关,是脑卒中发生的重要诱因,其危害不容小觑。
颈动脉狭窄怎么办?
一旦发现颈动脉狭窄,医生往往采用颈动脉超声检查、CT血管造影(CTA)、脑血管造影检查等来确定颈动脉狭窄的准确部位和严重程度。
临床上,颈动脉狭窄低于50%可采取药物治疗,狭窄高于50%低于70%,若没有明显症状,仍可药物治疗;但当狭窄高于50%低于70%有明显症状,或狭窄高于70%(即重度狭窄),以及检查发现为不稳定斑块者,则需手术治疗,以尽快重建正常的血流通道,预防脑卒中的发生。
脑供血不足致头晕持续加重 “祸”起重度狭窄
11月上旬,58岁的黄先生因头晕持续加重,来到上海蓝十字脑科医院就医,当进一步完善检查得知自己左侧颈动脉重度狭窄时,不由心头一紧。

原来,3个多月前,黄先生在外院体检时已发现颈动脉狭窄,当时建议其进一步明确诊断治疗。由于忙于工作,且并没有感到明显不适,这件事很快被他抛在脑后。
然而就在最近,黄先生开始感到头晕,且随着时间推移越来越严重,甚至影响到正常的饮食和睡眠,他想到很可能和颈动脉狭窄有关。在亲友推荐下,黄先生来到上海蓝十字脑科医院寻求进一步治疗。

▲ 为患者开展DSA检查
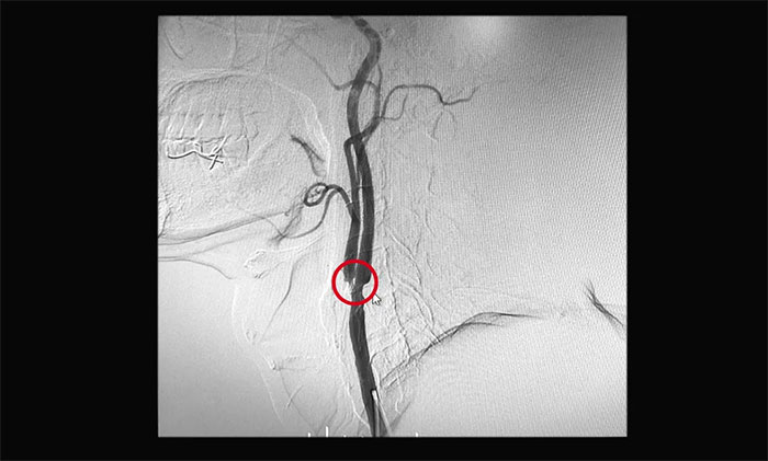
医院神经外科6A病区医生团队详细了解黄先生的病史,并进一步完善相关检查。行DSA脑血管造影检查后,显示患者左侧颈内动脉起始部狭窄约70%,左侧颈外动脉起始部狭窄约90%,属于重度狭窄,应考虑手术治疗。

▲ DSA检查示左侧颈动脉重度狭窄
根据最新版《颈动脉狭窄诊治指南》,手术治疗颈动脉狭窄主要采取两种方式:一种是通过开放式手术,切除颈动脉斑块,即颈动脉内膜切除术(CEA);另一种是通过微创手术,在血管内放置支架,即颈动脉支架成形术(CAS)。
医生要根据颈动脉斑块导致血管狭窄的程度、斑块稳定性,结合患者的症状、基本情况决定是否手术及采用何种手术方式。指南明确,颈动脉内膜切除术是治疗颈动脉狭窄的最经典术式。其绝对手术指征为:“有症状性颈动脉狭窄,且无创检查颈动脉狭窄度≥70%或血管造影发现狭窄超过50%”。
针对黄先生的病情特点,神经外科6A病区医师团队经审慎讨论、评估,明确了行颈动脉内膜切除手术的指征,排除手术禁忌,制定了手术方案。在告知患者家属手术风险并获得签字同意后,神经外科6A病区医师团队为患者施行了手术。
术中,切开左侧颈内、颈总动脉血管壁,即可见动脉粥样硬化斑块,伴钙化形成,明显阻塞血管腔。仔细将增生内膜完整剥离,斑块约3.0cm*2.0cm*1.0cm大小,缝合血管壁切口后可见颈内、颈外动脉搏动良好,实现了血管的“清淤排堵”。术毕,患者安返监护病房。
在术后康复治疗期间,患者未出现明显并发症,头晕症状明显改善。近期,经检查评估符合出院条件,已顺利出院。

要特别提醒的是,在日常生活中,除了年龄因素外,包括吸烟,不健康饮食,缺乏运动,血压、血糖、血脂异常等是动脉粥样硬化的危险因素。通过改变不良生活方式,控制血压,可预防颈动脉狭窄的发生,缓解因颈动脉狭窄诱发的脑血管疾病。对于颈动脉狭窄患者来说,一旦出现相关症状,切勿掉以轻心,应尽早诊断、及时治疗,遵医嘱定期复查。
上一篇:没有了 下一篇:没有了
11月22日至23日上午,由上海市社会医疗机构协会神经病学分会、上...【详细】


