脑积水 (Hydrocephalus),顾名思义是指脑中积蓄了过多的液体,这些液体即脑脊液,这类疾病正是因为脑脊液分泌过多、吸收不足或循环受阻所致。当脑脊液在脑室及蛛网膜下腔内积聚并持续增长,往往伴有因颅内压升高而引起头晕头痛等一系列症状。
脑积水:病因多、危害大
上海蓝十字脑科医院神经外科6A病区侯增欣主任介绍,脑积水是一种常见的颅脑疾病,脑脊液生成过多、循环受阻、吸收障碍,都可以导致脑脊液积蓄过多,使颅内原本容纳脑脊液的空腔,如脑室系统和蛛网膜下腔,受到过多脑脊液的挤压而扩大。

导致脑积水的病因很多,常见的主要有五大原因:
1、先天畸形:较多见的是脊柱裂、大脑导水管畸形或脑血管畸形等。
2、颅内感染:中枢神经系统发生感染,如因脑炎而增生的纤维组织阻塞了脑脊液循环孔道,特别是第四脑室孔及脑底部的蛛网膜下腔的粘连。
3、颅内出血:颅内出血后的纤维增生可引起脑积水。
4、颅内肿瘤:颅内肿瘤可阻塞脑脊液循环的任一部分,多见于第四脑室附近。
5、其他病因:如某些遗传性代谢病、围产期及新生儿窒息、严重的维生素A缺乏等。
脑积水患者的临床表现主要为颅内压增高和脑功能损害,典型症状为头痛、呕吐、视力模糊、眩晕及癫痫发作等。侯增欣主任进一步解释道,脑积水形成后,脑室系统由于脑脊液的积蓄而扩张。脑室进一步扩大,压力增高,导致脑脊液渗入脑室周围组织而引起白质水肿,若脑积水进一步发展,大脑皮层受压变薄,则可继发脑萎缩,导致智能障碍,轻者记忆力及计算力减退,常伴有迟钝、淡漠、缄默等。重者可呈痴呆。若不及时加以干预,患者最终可能脑疝加重,危及生命。
男子脑积水严重致意识障碍
61岁的余先生(化名)曾因面部疱疹就医,病情得到控制。然而不久之后,他感到头晕头痛并伴有恶心呕吐,在当地医院检查诊断为脑膜脑炎(疱疹病毒相关)。经住院治疗后,症状有所好转。近期,余先生出现神志模糊、讲话口齿含糊的情况,在亲友的推荐下慕名来到上海蓝十字脑科医院寻求进一步治疗。

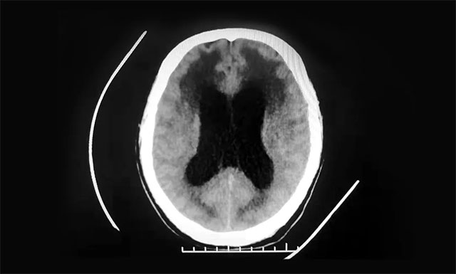
▲ 患者脑室明显扩张,脑脊液已渗入脑组织
医院神经外科6A病区侯增欣主任团队结合患者既往病史,有针对性地对患者开展了系统的检查,余先生的定向力、计算力和记忆力均有所下降,精神状态差,意识障碍较为明显。行CT检查可见,患者脑干体积缩小,脑室系统中度扩张,充盈的脑脊液已部分渗入了脑组织,形成间质性脑水肿,情况比较严重。
侯增欣主任指出,患者的脑积水考虑为脑炎后遗症引起,神经功能障碍与脑积水严重程度相关,为了避免对神经功能造成更严重的损害,需尽快采取干预治疗措施减少和控制脑积水。
手术治疗助患者“脱险”
目前,脑积水的治疗方法主要有保守治疗和手术治疗两种,具体的治疗方法要根据患者的具体病情、症状、影像学检查来选择。一般轻度脑积水可进行保守治疗,通常采取药物干预,可使患者病情得到一定程度的缓解;对于比较严重的脑积水,主要考虑外科手术治疗,减少脑积水,解除脑受压状态。

▲ 侯增欣主任团队为患者手术
侯增欣主任团队经过开展严谨的评估讨论,在明确患者无明显手术禁忌,并经患者和家属签字同意后,由侯增欣主任为余先生进行了脑室-腹腔分流手术,利用埋藏在皮下的特制软管,将多余的脑脊液从侧脑室引流到腹腔,由腹腔吸收。手术进展顺利,术后患者未出现明显并发症,意识状态迅速好转,各项神经功能也逐渐恢复,已顺利出院。
侯增欣主任最后提醒,脑积水症状因发病年龄以及疾病类型的不同而有所不同。倘若出现不明原因头痛头晕、视力障碍、恶心呕吐、走路不稳、智力障碍、尿失禁等症状时,应及时到有能力救治的医院就医,做进一步检查。脑积水所引起的病症大多经过治疗是救治的,早期发现、早期诊断、早期干预治疗是改善患者生活质量的关键因素。
上一篇:没有了 下一篇:造瘘排“水” 无管通渠——神外卢云鹤博士谈脑积水内镜微创手术治疗
11月22日至23日上午,由上海市社会医疗机构协会神经病学分会、上...【详细】


