您当前的位置:主页 > 医学常识 > 神经外科常识 > 脑瘤常识 >

出现不明原因反复头痛,要警惕脑肿瘤!

日期:2023-04-18 来源:上海蓝十字脑科医院 进入脑科疾病答疑区

医院公告 我院为上海市医保定点单位 如以下文章有不明之处 可以点击客服服务,一对一为您解答!

  生活中几乎每个人都有头疼脑热的经历,尤其是到了季节变换的时候,感冒、发烧往往会引起头痛症状。高血压、休息不好、情绪激动及血管神经性因素等也可引起头痛。因此,有不少人认为,头疼不是什么大不了的毛病,挺一挺就过去了。然而,在众多引起头痛的疾病中,十分隐匿又危险的莫过于脑肿瘤。因此,我们在头疼时,不要硬扛,一定要去医院做个检查。

  反复头痛,24岁程序员竟患 罕见巨大肿瘤

  《武汉晚报》报道,李威今年24岁,大学毕业后在一家公司做程序员。数月前,他开始莫名出现一晃而过的头痛、头晕现象,但他并没在意。没想到这种情况越来越频繁,两周后,他因剧烈头痛在公司晕倒,被同事送往附近医院,检查后发现他脑室里长了一颗巨大肿瘤。

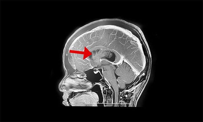
▲ 头痛同时伴随呕吐、视力下降等,要高度怀疑脑肿瘤

  最终被诊断为中枢神经细胞瘤。中枢神经细胞瘤属于比较罕见的脑肿瘤,一般直径超过三公分即为巨大肿瘤,而李威脑室内的肿瘤直径竟达七公分,接近一个拳头大小。幸运的是,顺利手术切除。

  罕见的中枢神经细胞瘤

  上海蓝十字脑科医院神经外科李士其教授介绍,中枢神经细胞瘤(Central neurocytoma,CN)是少见的神经系统肿瘤,1982年由Hansson首次报道并命名,2016年WHO神经系统肿瘤组织学分类将其归类为神经元和混合型神经元胶质瘤(WHOⅡ级)。中枢神经细胞瘤仅占颅内肿瘤的0.25%~0.50%,好发于20~40岁青年人,无性别差异。病史一般较长,可达数十年之久,好发于侧脑室透明隔,当病变累及Monro孔时,阻塞脑脊液循环,引起头痛、头晕、恶性、呕吐以及不同程度视力改变等非特异性颅内高压症状。

  中枢神经细胞瘤目前认为起源于室管膜下具有双向分化为神经细胞和神经胶质细胞的前体细胞。典型中枢神经细胞瘤镜下瘤细胞大小一致,圆形,核圆,居中,无核分裂像,可见神经毡、Homer-wright菊形团和神经节细胞样细胞等特异性表现。免疫组化SYN、NSE等特异性标记物表现为阳性。当瘤细胞排列呈流水状,瘤组织出现核分裂像活跃(Ki-67>2%),微血管内皮增殖、局部坏死灶时,称为非典型性中枢神经细胞瘤。

  中枢神经细胞瘤治疗 以手术为主的综合治疗

  李士其教授介绍,该肿瘤一般生长于侧脑室或三脑室,由于生长的位置处于脑室内,有较大空隙代偿,疾病初期症状并不典型,当出现如头痛、呕吐等临床症状时,瘤体已经比较大。在治疗上首先建议进行手术切除,解除肿瘤占位效应,通畅脑脊液通路,缓解脑积水,解除颅内高压。李士其教授指出,中枢神经细胞瘤一般为偏良性肿瘤,若能手术全切肿瘤,或者大部分切除后辅助放疗可以长期生存。所以,手术这一步非常关键。

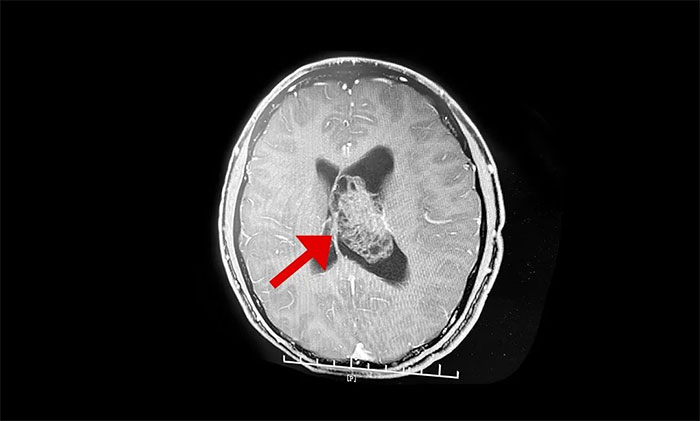
▲ 非典型性中枢神经细胞瘤

  但由于肿瘤较大、血供丰富,且与脑室壁黏连明显,致使肿瘤分离及切除异常困难。而且脑室内血管及神经组织结构复杂、功能重要,如何在切除肿瘤的同时尽可能保护脑功能是手术的最大难点。

  注意一般头痛和脑瘤头痛的区别

  李士其教授指出,与脑瘤有关的头痛主要是颅内压增高引起的,随着肿瘤的长大,头痛会呈现进行性加重的特点,而其他原因引起的头痛,在原发病因好转后会自行消失。但是头痛同时伴随其他一些症状,如呕吐、视力下降、记忆力差、反应变慢等则高度怀疑颅内有肿瘤或其他占位性病变。

  而许多脑瘤一开始并不一定有头痛。脑瘤的发病是个漫长的演变过程。在肿瘤初起时,脑组织受压较轻,头痛为间歇性,表现为或长或短的缓解期,疼痛程度较轻,多为钝痛。随着肿瘤逐渐增大,肿瘤直接牵引、伸展和挤压脑血管,也会压迫脑组织,使大脑的血液和脑脊液循环出现障碍,颅内压力增高,刺激对痛觉敏感的神经、脑膜,头痛也日渐加重并呈持续性。

  肺癌、乳腺癌、鼻咽癌的头痛患者 警惕脑部转移的可能

  另外,患有肺癌、乳腺癌、鼻咽癌的患者,如果突然出现较剧烈的头痛,应警惕脑部转移的可能。因为脑转移肿瘤生长迅速,常伴有严重的脑水肿而致颅压明显升高。

  李士其教授提醒:对不明原因的反复头痛,建议最好到医院做详细检查,一般通过做颅部CT、磁共振等检查就能确诊。

  版权声明:部分图片源自摄图网,如有版权纠纷,请及时联系医院。一经查实,将立即删除。

上一篇:肿瘤防治宣传周︱癌症防治 全面行动 “三级预防”要牢记 下一篇:没有了
医院简介专家教授科室介绍医院荣誉医学百科就医指南上海蓝生脑科公司