“男儿有泪不轻弹,我们结婚快40年了,从未见过他因何事流过泪,但这次生病却让他变得很脆弱,看到他那两行眼泪,我也忍不住偷偷抹泪”陆阿姨心疼道。究竟是怎样的一种遭遇,让他变得如此的脆弱……
祸不单行,两次意外打破幸福
唐叔叔和陆阿姨本应该像其他退休老人一样过着幸福安乐的日子,但唐叔叔两次意外摔倒却打破了原有的幸福。9月28日早上唐叔叔像往常一样在小区遛弯,一不小心跌倒了,右胳膊被擦破了皮,当时也没在意;真是祸不单行,当天他在乘地铁下电梯的时候又不慎踩空摔倒了,可能是连着摔了两次的缘故,而刚刚下电梯摔倒又是头部先着地,唐叔叔突然感觉头疼的厉害。
之后唐叔叔就诊于附近的一所医院,在做检查的时候,他突然开始呕吐,之后在该院行头颅CT,结果显示:右额叶脑挫裂伤;右侧颞部蛛网膜下腔出血;左侧枕部少许皮下血肿;左枕骨骨折;蝶窦积血;颅内少许腔梗灶。医生告诉他情况比较严重,必须立即住院治疗,经过医生二十多天的治疗,唐叔叔情况有所好转,生命体征基本稳定,但头痛头晕、恶心呕吐的症状还是比较严重,医生建议他转院治疗。
源于信任,他再次选择蓝十字
就在唐叔叔和家人为选择医院一筹莫展的时候,他想起去年88岁母亲脑梗偏瘫治疗的医院——上海蓝十字脑科医院。据唐叔叔回忆,当时母亲突发脑梗,左侧偏瘫,情况很糟糕,但在蓝十字医护人员三个多月精心治疗和护理下,母亲竟可以下床走路了,现在已经恢复了自理能力。

▲患者母亲去年在蓝十字康复大厅进行训练
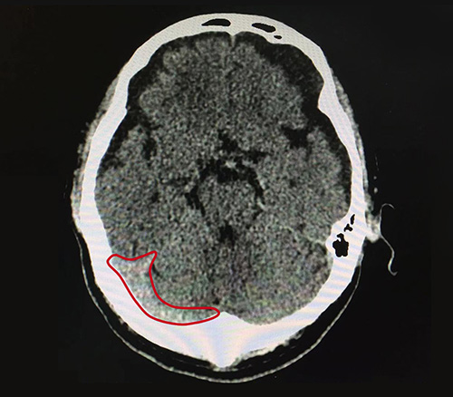
10月17日,为了进一步治疗,唐叔叔在老伴的陪同下就诊于蓝十字脑科医院,接诊的是神经内科7A病区主任张静波,张主任在了解了唐叔叔具体病情和症状后,为了更准确的确定病症,建议其行头颅CT,结果显示:1、蛛网膜下腔出血(外伤性);2、腔隙性脑梗死;3、脑挫裂伤(右额叶);4、双侧额颞部硬膜下积液;5、枕骨骨折。

▲患者当时右侧颞部蛛网膜下腔出血比较严重
根据患者的检查结果和病症,张静波主任为其制定了详尽完善的诊疗计划,首先因病人卧床20多天,为了防止褥疮和身体机能下降,给予病人I级护理,并完善相关检查;其次患者高血压7年多,控制一般,因此予以药物降压治疗;为了预防患者脑血管痉挛和应激性溃疡,对其进行了相应的药物治疗;面对患者高颅压情况,张主任对其又进行脱水降颅压治疗,以及其他相关治疗。
专业治疗,坚定患者康复信心
据张主任介绍,唐叔叔刚来医院的时候虽然生命体征基本稳定,但他恶心呕吐、头痛头晕的情况还是比较严重的,他眼中的天花板都是旋转的。同时因其生病后一直卧床,整个身体机能有所下降,四肢无力,更别提坐立、下床行走了;整个人的精神状态也很差。

▲唐叔叔为蓝十字专业治疗竖起了大拇指
“老伴自己是医生,面对这次生病的打击,他心里的防线瞬间崩塌了,真没想到会摔的这么严重,突然感觉生命很脆弱,也因此变得很胆怯,不敢轻易锻炼”陆阿姨说。“但张主任建议在接受药物治疗的同时,要慢慢开始训练,如床上、床边坐位训练以及坐位平衡训练,之后还要加强颈部、头部以及腿部的训练。老伴很信任张主任,人也变得很积极,从开始30°的坐位训练到50°、60°、70°,甚至80°的坐位保持和训练,他都做的很好,这多亏了张主任。”

▲出院前唐叔叔站立起来与张主任合影
在加强肢体训练的同时,张主任建议患者慢慢尝试进食,这样利于身体恢复。“因为当时我的肠胃比较脆弱,张主任为我制定了完善的饮食计划,从开始的少量流质——全部流质——半流质——普通饭菜,直到现在我的饮食已经基本正常,可吃少量的面条和米饭,蔬菜基本都能吃了。”唐叔叔感激的说。
小小锦旗,是对医护人员肯定
经过医护人员三个多月的专业治疗与精心护理,唐叔叔的情况有了很大的转变,蛛网膜下腔出血情况也明显好转,但仍需自身吸收和恢复;血压基本稳定,恶心呕吐、头晕头痛的症状基本消失;直到出院之前,他已经可以坐在轮椅上,在家人的搀扶下还可以站立起来。
“在我住院期间,张主任几乎每天七点多都会来查房,鼓励我,关心我。我是打心底的感激张主任,她不仅医术精湛,医德更高。”唐叔叔对张主任赞不绝口。

▲一面小小的锦旗是对医生最大的肯定和鼓励
“我还要特别感谢管床医生叶京华和护士长李楠楠,她们都很热心负责。叶医生照顾了我母亲又照顾了我,同时因为我的静脉很难打,李楠楠护士长每次都亲自为我扎针,如果让我给蓝十字医护人员打分,肯定是100分。”
12月15日,唐叔叔已顺利出院,在出院之前,为了表示对蓝十字医护人员的感谢,他将写着“精湛医术赛华佗,高尚医德暖人心”字样的锦旗,送到了张主任和医护人员的手中。“在别人眼里它也许只是一面小小的锦旗,但却代表了患者对医院的感谢、对我们医护人员的肯定,更是对我们的鼓励。”张静波主任表示
六种方法,为老人安全设保障
据张主任介绍,我国每年老人跌倒的发生率约为15~40%,并随着年龄增加而升高,而跌倒已成为我国65岁以上老人伤害死亡的重要原因之一,因此,为了预防老人跌倒,我们必须采取有效措施。
此文章仅作为临床学术研究、学术交流使用!
上一篇:情满ICU|有一种爱,叫不离不弃 下一篇:格林-巴利综合征险夺男子性命 蓝十字脑科专家力挽狂澜助患者渡险关
11月22日至23日上午,由上海市社会医疗机构协会神经病学分会、上...【详细】


