您当前的位置:主页 > 科研教学 > 专业交流 >

中年男子一觉醒来突发脑干梗死 多学科救治顺利脱险

日期:2024-02-23 来源:上海蓝十字脑科医院 进入脑科疾病答疑区

医院公告 我院为上海市医保定点单位 如以下文章有不明之处 可以点击客服服务,一对一为您解答!

  脑干梗死,又称脑干闭塞、脑干梗塞,是发生在脑干部位的脑梗死,也是脑梗死中最严重的一种,死亡率很高,发病较急,即使通过治疗,也有可能出现不同程度的后遗症。脑干梗死,指椎-基底动脉及其分支血管因动脉硬化、栓塞、痉挛、炎症等,导致上述动脉狭窄或闭塞而引起的中脑、脑桥、延髓持续缺血,进而出现功能障碍,引起相应的神经系统症状和体征。

  近日,一位中年男子在睡觉后出现肢体麻木、无力、视物模糊等症状,慕名求医上海蓝十字脑科医院,找到神经内科7A病区主任张静波,经过系列检查,最终确诊脑干梗死。后经介入治疗,成功开通供应脑干血液的血管,患者转危为安,目前正在康复中。

▲ 张静波主任在分析患者病情

  中年男子一觉醒来 突发脑干梗死

  “我夜里从来不醒的,那天突然夜里醒来,就感觉不对劲!”患者王先生(化名)于2023年12月19日22时入睡,在第二天凌晨2点左右睡醒后,出现右侧肢体麻木、无力、视物模糊,当时未引起重视。在早上7点左右起床后,感头晕、步态不稳,伴有恶心、呕吐。王先生立即呼喊曾在上海蓝十字脑科医院当过护士的儿媳,儿媳考虑可能是脑梗,遂立即赶到医院,求医于张静波主任。

  入院后,神经系统查体:神志清,言语清,对答切题,高级智能检查合作;双眼向各方向均有眼震,双眼向左侧视不全,双眼上视时,左眼向内上方倾斜,双眼下视时,左眼向内侧倾斜,双眼右视充分;右侧鼻唇沟稍变浅;右手持物不稳,右肢肌力5级弱,右侧肢体痛温觉减退。NIHSS评分3分。既往高血压病史一年余,口服降压药治疗。

  头颅磁共振检查提示:双侧放射冠、额顶叶皮层下散在缺血腔隙灶。MRA提示脑动脉硬化,椎-基底动脉纤细,右侧胚胎型大脑后动脉,左侧大脑中动脉分叉过早。头颅CTA显示椎-基底动脉纤细;头颅CTP发现,左侧小脑半球灌注不足。

  有着丰富临床经验的张静波主任详细了解了患者病史及相关影像资料后,考虑为椎基底动脉狭窄引起的新发急性脑梗死。虽然患者的核磁影像报告中未见异常,但患者的神经功能缺损症状非常明显,经过仔细研判,张静波主任决定在入院后再次为患者检查头部磁共振弥散成像(DWI),进一步明确诊断。

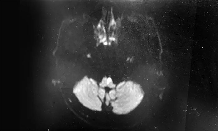
  不出所料,MR基底动脉HRMR+DWI显示,脑干(桥—延髓交界左侧份)急性期腔隙梗死;左侧椎动脉V4段次闭塞。这进一步印证了张静波主任的判断——椎基底动脉系统狭窄引起急性的脑干梗死。

  张静波主任解释,DWI是诊断急性脑梗死的有力武器,但是每个人的脑血管侧支循环不同,DWI没有固定的显影时间,特别是对于后循环的脑梗死,DWI更容易出现阴性。

▲ 脑干(桥—延髓交界左侧份)急性期腔隙梗死

▲ 头颅CTA显示椎-基底动脉纤细

  多学科联合治疗 转危为安

  张静波主任指出,重度狭窄的左侧椎动脉是患者脑梗死的责任血管,严重狭窄的椎动脉存在继续脱落不稳定斑块,甚至血管完全闭塞风险等,导致大面积脑干梗死,患者命悬一线,必须积极干预,挽救患者生命。为了进一步制定治疗方案,张静波主任邀请医院学术副院长、神经内科4A病区主任席刚明教授进行会诊。

  席教授为患者进行了DSA全脑血管造影检查,提示左椎动脉起始段重度狭窄,左椎动脉V4段闭塞,经纤细侧支供血基底动脉,显影欠佳。专家会诊指出,患者左椎动脉重度狭窄闭塞,单纯药物治疗效果不佳,左侧椎动脉血运重建对整个后循环灌注及脑干梗死病灶的恢复有重要意义,椎动脉支架置入手术指征明确。

  排除手术禁忌,充分完善手术预案并获得家属同意后,席刚明教授在神经内科4A病区副主任王贵平博士协助下为患者进行了颅内动脉闭塞开通+椎动脉支架置入术。术中,球囊扩张及支架置入后,造影可见左椎动脉起始段、左椎动脉V4段顺利再通,成功打通生命线。

  术后,患者转危为安。张静波主任继续对其进行抗血小板、改善脑循环、降纤治疗及高压氧、康复治疗。经过多学科治疗,患者头晕、肢体麻木、无力等症状正在逐步好转。“幸亏来这里,治疗及时,不然我就没了,我与死神擦肩而过。这次多亏了张静波主任,席刚明教授!”术后半个月见到王先生时,他激动地说道。

▲ 席刚明教授、王贵平博士在为患者手术

▲ 左椎动脉闭塞

▲ 左椎动脉顺利开通

 

  警惕大脑后循环脑梗死

  流行病学调查显示,除了“年轻化”外,脑梗死还呈现出椎基底动脉硬化的趋势,发病以后循环供血的部位为主,小脑、脑干、枕叶和部分丘脑发生梗死的患者越来越多。

  张静波主任说,提起脑梗死,不少人会想到突然昏厥、口角歪斜、半身不遂、言语障碍、智力障碍等症状,由于病变血管不同,大脑后循环脑梗死的常见症状与上述症状不同,易出现突然发作性眩晕、恶心呕吐、喝水呛咳、吞咽困难、声音嘶哑、面舌瘫、眼肌麻痹引起的复视、眼球震颤、躯干共济失调、走路歪斜等症状。

  张静波主任提醒,由于大脑后循环脑梗死的起病症状不典型,容易与其他有相似症状的疾病混淆,如急性周围前庭功能障碍、急性脑出血、蛛网膜下腔出血、脑肿瘤、慢性感染疾病等,在临床上诊断起来较困难,辗转数家医院、跑错科室的现象时有发生。有的反复就诊于眼科、耳鼻喉科,甚至还去看心理医生,将其作为焦虑症治疗。

  这样一来,就会耽误诊治时间,导致病情加重,错过最佳的治疗时机,影响患者病情的恢复。殊不知,对于脑血管疾病来说,时间就是生命,时间就是大脑。

▲ 警惕大脑后循环脑梗死

  关注脑血管健康 随时警惕这些症状

  脑干梗死,虽然极凶险,死亡率极高,但也是一个循序渐进的过程,击倒一个人之前,必定会有临床症状:

  1、单侧肢体无力,这是脑干梗死最常见的症状。患者感觉一侧的手、胳膊、腿等肢体运动出现无力感。

  2、言语不利,患者会出现说话不流利、发音不准确的表现。

  3、头晕,是脑干梗死早期常见的症状,常表现为没有明确原因的头晕,且没有缓解方法。

  4、感觉异常,部分患者会出现感觉异常,如手麻、触觉丧失等。

  5、吞咽困难、声音嘶哑,部分患者会出现说话时声音嘶哑、吃饭及饮水时吞咽困难的感觉。

  6、共济失调,部分患者会出现运动不协调,如行走不稳、眼球震颤等,还无法做一些精准的活动。

  “高血压、糖尿病、长期吸烟等都是椎动脉闭塞的高危因素。”张静波主任解释,这些高危因素会引起血液粘度增加、动脉血管病变,导致血流缓慢,造成动脉狭窄甚至堵塞。因此,想要预防椎动脉狭窄及闭塞,大家一定要注意良好生活习惯的养成,戒烟戒酒、清淡饮食,减少油脂类食物的摄入,避免劳累、熬夜等。

  对于既往有高血压、高血脂、高血糖等疾病的患者,要遵医嘱服药,将血压控制在正常范围内;一旦出现反复发作的头晕头痛、肢体麻木无力、吞咽功能障碍等情况,尽早到有卒中中心的医院进行检查治疗。

  版权声明:部分图片源自摄图网,如有版权纠纷,请及时联系医院。一经查实,将立即删除。

此文章仅作为临床学术研究、学术交流使用!

上一篇:39岁男子突然意识不清摔倒在地 多学科协作顺利切除颅内巨大脑膜瘤 下一篇:4旬男子头痛抽搐确诊静脉窦血栓 席刚明教授团队介入取栓及时打通生命线
医院简介专家教授科室介绍医院荣誉医学百科就医指南上海蓝生脑科公司