您当前的位置:主页 > 科研教学 > 专业交流 >

神经外科李士其教授的医疗美学——眉弓“锁孔”切除鞍结节脑膜瘤

日期:2022-02-25 来源:上海蓝十字脑科医院 进入脑科疾病答疑区

医院公告 我院为上海市医保定点单位 如以下文章有不明之处 可以点击客服服务,一对一为您解答!

  白驹过隙,日月如梭,转眼已到2022年。回想12年前噩梦开始的地方,仿如昨日,却又恍如隔世。

  12年前,赵女士因为头疼伴右眼视力下降就诊于当地医院,检查出鞍结节脑膜瘤,当即就做了切除术。手术的成功全家人都松了一口气,压在所有人心上的这块“巨石”终于挪走了。

  然而,12年来,在一个纪的时间里,“脑膜瘤”的巨大暗影却始终没有离开赵女士的生活,令她饱受困扰,遍经折磨,直到遇到李士其教授,这一困境才得到了根本性的改变。

  12年受困复发“囚笼”

  第一次手术后,赵女士很快就恢复了正常生活,日子过得恬淡而平静。直到2014年的一天,赵女士的视力再次出现模糊症状,这让她心头一惊。一番检查,果然是脑膜瘤再次复发了。

  这一次,她选择了伽马刀治疗。从此以后,赵女士每天都生活得战战兢兢,心理压力巨大,生怕肿瘤再次复发。就这么一晃,8年过去了。正当赵女士以为可以安枕无忧时,2021年1月视力模糊又一次淹没了她的生活。“就像蒙了一层膜一样”,那种感觉对她来说是何等熟悉,那一刻,她觉得生活再次陷入无边的黑暗和绝望中。

  当地医院鞍区MR提示鞍上及左侧额部结节,考虑脑膜瘤,建议再次进行手术切除。12年来连续的复发,让赵女士对生活完全丧失了信念和希望,只觉得噩梦已吞噬了她的整个人生。唯一能支撑她继续向前的,是丈夫的坚持与执着,是对夫妻同命的依恋。

  在丈夫陪伴下,为了寻求进一步治疗,赵女士辗转求医到了上海,后又慕名转入上海蓝十字脑科医院。

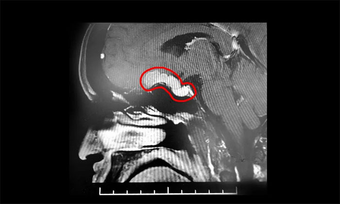
  入院检查显示,左眼视力下降,外侧视野缺损。鞍区MRI平扫+增强显示,鞍上可见类椭圆形异常信号,大小约2.8cm*1.5cm,与垂体分解分界清晰,与视交叉、海绵窦分界欠清晰。

▲ 肿瘤向鞍上生长

  结合实际病情和影像检查结果,潘仁龙主任、李士其教授、吴治群博士会诊后指出,赵女士视物出现异常,手术指征明显,应及早手术,否则症状还会加重,视力会越来越差,最终导致永久失明。

  要警惕首发视力障碍

  上海蓝十字脑科医院神经外科6B病区潘仁龙主任介绍,脑膜瘤是颅内较为常见的一种肿瘤,起源于脑膜及脑膜间隙的衍生物,其发病率占颅内肿瘤的19.2%,仅次于胶质瘤,居第二位。鞍区脑膜瘤主要位于鞍区,是颅内最常见的良性肿瘤。

  鞍区脑膜瘤和视神经、视交叉、大脑前动脉以及双侧海绵窦位置比较邻近,如果体积较大,常常会累及鞍区,所以其主要症状就是引起视力视野改变,及垂体内分泌改变等。

  80%以上的鞍区脑膜瘤患者,以视力障碍为首发症状,视力障碍多为缓慢、进行性减退,可持续数月或数年。早期一侧视力减退伴颞侧视野缺损,单侧视力障碍占55%,随后对侧视神经和视交叉受压表现为双眼视力下降或双侧视野缺损,双侧视力障碍者占45%,情况严重者可致失明。

▲ 约80%以上的鞍区脑膜瘤患者首发症状为视力障碍

  鞍区脑膜瘤的生长速度因人而异,如不及时治疗,增长到一定程度,会严重压迫视神经,不仅可导致失明,患者还可出现颅高压、视乳头水肿、头痛、精神症状等严重病症,因此,一旦确诊应尽早采取手术治疗。

  医疗与美学的和谐统一

  李士其教授指出,该患者颅内肿瘤向鞍上生长,只能通过开颅手术切除。尽管开颅手术势在必行,但是当赵女士看到身边病友的“光头”和上面扎眼的疤痕时,内心感到无比焦躁和不安。毕竟,从医疗美学角度来说,在保证功能完整的前提下切除病灶,与尽可能保护好患者的外貌外观并非绝对冲突和对立。一定程度来说,患者保持愉悦的心情,能更好地促进术后的康复。

  鞍区病变通常采用经鼻蝶、经额下、和经翼点等入路进行手术。但是上述入路均有优缺点。比如经额下入路开颅损伤较大,不必要的脑暴露和脑牵拉过多,出血量大,易损伤嗅神经,病人术后反应重。而经蝶入路手术采用微创技术解决了以上问题,但对于蝶窦发育不良、肿瘤呈哑铃状向鞍旁、向中颅窝或向鞍后、鞍上生长的病例,术中处理很困难。

  鉴于赵女士的脑膜瘤生于颅底,经多次会诊和缜密评估,李士其教授决定为其行经眉弓眶上锁孔手术,用微创技术来切除肿瘤,尽最大可能降低损伤。

  神经外科“锁孔”手术得益于现代CT、MRI、DSA等影像技术的发展,它不仅将骨瓣开颅和微创技术有机结合起来,而且凭借精确地解剖关系,为手术提供了精准的术前定位,使有效空间内以较小的手术创伤,来取得较好的手术效果成为可能。

  利用锁孔一样大小的骨窗来代替大切口、大骨窗,进行颅内的深部病变切除,能根据病灶特点,准确设计开颅部位和范围,深入脑组织自然间隙,以最短路径精准到达病灶,这是锁孔技术的最大特点。同时,它还具有手术时间较短、创伤较小、住院时间较短等优点。

  此外,由于锁孔切口常常设计在眉弓、发髻内,切口短而隐蔽,极大地满足了患者对于外观上美观的需求,减轻了患者的心理压力,提高了患者的生活质量。

▲ 李士其教授团队正在为患者手术

  显微镜下锁孔切除脑膜瘤

  为了挽救患者的生命,2月14日,经过充分完善的术前准备,并征得家属同意后,李士其教授在吴治群博士、尤国栋医生的协助下,顺利为患者进行了 “经眉弓眶上锁孔入路鞍区病损切除术”。

  术中,在蔡司显微镜(双荧光)下,见肿瘤组织包绕左侧嗅神经,双侧视神经被生发于鞍结节处的肿瘤组织挤压至外下方,且与肿瘤组织关系密切。李士其教授处之泰然,在充分保护好重要血管神经的前提下,逐步将肿瘤与周围的神经、血管一点点分离开来,分块切除肿瘤,让视神经得到了充分减压。历时3个多小时,手术终于顺利完成。

▲ 术后影像显示肿瘤被切除

  在这一台高难度、高风险的手术中,李士其教授凭借完善的术前计划、娴熟的显微外科手术技巧、耐心专注的手术风格,充分展示了自身在神经外科领域的深厚造诣。不仅完成了既定的医疗目标,而且实现了医疗技术和医疗美学的和谐统一,让患者的身心都得到了治疗和安抚。

  术后,赵女士左眼视物模糊情况明显改善,无其他新发功能障碍。再次见到赵女士时,她的精神状态不错,更令人欣喜的是——一头秀发依旧乌黑靓丽。

此文章仅作为临床学术研究、学术交流使用!

上一篇:两岸情 | 上海蓝十字脑科医院成功救治中国台湾脑出血患者 下一篇:年轻女子突发脑出血致中度昏迷 经多学科联合救治成功苏醒
医院简介专家教授科室介绍医院荣誉医学百科就医指南上海蓝生脑科公司