“你是谁?”、“我在哪里?”……前段时间,53岁的张先生(化名)在毫无征兆的情况下突然“失忆”了。起初,妻子以为他在赌气开玩笑,当发现丈夫几乎完全没有了意识,她才知道,问题严重了!
第一次“断片”:突然找不到回家的路
身材魁梧的张先生今年53岁了,步态稳健、行动麻利、口齿清楚的他,很难与脑梗患者的形象联系起来。在上海蓝十字脑科医院度过了三天昏迷期后,他的快速康复,让很多人啧啧称奇。
“我不抽烟不喝酒,但这已不是我第一次‘断片’被送进医院了。”张先生笑着告诉笔者,2017年11月,年迈的父亲因病住院,那段时间,孝顺的张先生每天从位于松江的家乘地铁去浦东探望照顾老人家。有一天晚上,准备回去的他,突然怎么也找不到回家的路。
当时,张先生没感到身体有什么异常,情急之下打电话让妻子吴女士(化名)来接。觉得事有蹊跷,妻子找到丈夫后,就将他送至医院检查。经诊断,丈夫竟然脑梗(俗称“中风”)了。
第二次“断片”:结发妻子成“路人”
第一次脑梗后,经住院治疗康复,张先生很快恢复了正常生活。不过,他偶尔会有健忘的表现。“有点丢三落四,有时候脾气也比较急躁。”吴女士这样形容丈夫。
一年多来,吴女士一直贴心照料着在家休养的张先生,自己平时要上班,她就早早为丈夫准备好一天的饭菜,中午有空会特地赶回家探望。
2018年12月26日,像往常一样,吴女士安排妥当后出门上班。中午回到家,发现丈夫站在门口,神情有些木讷。“你是谁啊?”张先生厉声质问妻子。一下子没缓过神来的吴女士觉得丈夫大概在开玩笑,并未多作理会。
当天傍晚,吴女士下班回家后,发现丈夫坐在床边,精心准备的饭菜在厨房灶台上原封未动。“跟他讲话时明显觉得思路混乱,连自己在哪里也不知道,还一直说恶心想吐。”吴女士意识到丈夫的老毛病可能又犯了,赶忙将他送到离家较近的上海蓝十字脑科医院。
治疗及时 患者康复出院
送医过程中,张先生精神萎靡、神志模糊。在蓝十字脑科医院检查时,患者已处于昏迷状态。
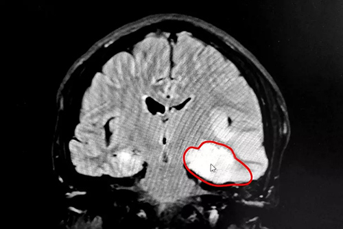
CT检查结果显示,患者头颅左侧颞枕顶叶见弥漫性大片状低密度影,其中左侧枕叶可见团块状稍高密度影,临近左侧侧脑室受压变窄,中线结构向右侧移位,其内脑沟消失,脑组织肿胀。据此,诊断患者张先生为大面积脑梗。
▲CT检查显示,患者左侧颞枕顶叶大面积脑梗
脑梗死旧称脑梗塞,又称缺血性脑卒中(cerebral ischemic stroke),是指因脑部血液供应障碍,缺血、缺氧所导致的局限性脑组织的缺血性坏死或软化。脑梗死的临床常见类型有脑血栓形成、腔隙性梗死和脑栓塞等,脑梗死占全部脑卒中的80%。
脑梗死作为一种突发性脑部疾病可发生于任何年龄段,坏死程度因血栓部位及大小不同而有差别。多见于45~70岁中老年人。发病较急,多无前驱症状,局灶性神经体征在数分钟至数小时达到高峰,并且多表现完全性卒中,意识清楚或轻度意识障碍,颈内动脉或大脑中动脉主干栓塞导致大面积脑梗死,可发生严重脑水肿,颅内压增高,甚至脑疝和昏迷,少见痫性发作;椎-基底动脉系统栓塞常发生昏迷,个别病例局灶性体征稳定或一度好转后又出现加重提示梗死再发或继发出血等。
(——国家卫健委权威医学科普项目传播网络平台/百科名医网 )
上海蓝十字脑科医院神经内科五病区李振并主任解析:虽然脑梗是一种常见病,但由于病灶部位和大小不同,脑梗的表现往往多种多样——有人忽然栽倒,有人半身不遂,有人面瘫,有人失语,也有人可能像患者张先生这样,失忆了。
发生脑梗后,导致大脑记忆相关区域因梗塞而缺血,因而出现严重影响到记忆功能的表现。而其他区域的功能,虽然也可能受损,但表现得就没有失忆这么明显了。
通过对患者既往病史和病情特点认真分析评估,李振并主任领衔的专家团队为患者采取了控制血压、防止脑水肿、抗脑梗、抗血小板聚集、改善脑循环,以及醒脑开窍综合疗法等一系列治疗手段。
李振并主任介绍,在治疗过程中,通过审慎评估筛查后,患者张先生接受了体外血浆脂类吸附过滤治疗(简称“DELP”),通过体外血浆吸附过滤法,有效清除胆固醇、甘油三酯等脂类,迅速有效降低血粘度,降低纤维蛋白原和同型半胱氨酸,改善血液流变学和脑循环,从而促进卒中患者的早期神经功能恢复,减低卒中患者严重致残的可能性。(注:我院《DELP快速强化降低LDL-C治疗急性致残性缺血性卒中的随机对照研究》的科研项目,已获吴阶平医学基金会临床科研专项资助基金课题立项)。
一套有针对性的“组合拳”直击病灶,入院治疗三天后,张先生逐渐摆脱了昏迷状态,从无法回应呼叫到能与医师正常沟通,意识迅速恢复。
▲患者出院前与李振并主任团队合影
最近,张先生顺利出院了。出院前,他与李振并主任及5楼医护团队合影致谢。“亲戚朋友都说看不出我脑梗昏迷过,这次多亏老婆及时把我送到医院,更要感谢蓝十字脑科的高水平医疗服务!”张先生高兴地表示。
此文章仅作为临床学术研究、学术交流使用!
上一篇:节后流行用这种方法放松身心 结果有人差点送了命…… 下一篇:甜蜜的神经毒素 —— 千万不要吃红芯甘蔗9月29日是“世界心脏日”。近年来,心脏问题越来越多地出现在中...【详细】