对于脑卒中(脑中风)患者来说,时间就是生命。在发病的黄金3小时内,每争取到1分钟可以挽救近200万个脑细胞;如果及时接受溶栓或取栓治疗,每早1分钟通栓,就等于多赢得了1周的生命!

争分夺秒之间,是对生命的珍视
救生命之急,托生命之重!5月15日,71岁的夏大爷急性脑梗塞被家属紧急送来上海蓝十字脑科医院急诊科,在急诊科主任齐洪阁的调度下,医院第一时间启动脑卒中急救绿色通道,多学科联手,争分夺秒让患者及早接受溶栓治疗,与时间赛跑,唯爱与生命不可辜负......
5月15日
15:30 夏大爷打麻将过程中,突然发病,左侧肢体偏瘫,伴头晕、呕吐,家属第一时间驱车将老人从徐泾东送入上海蓝十字脑科医院急诊。
16:22 老人到达医院急诊,急诊内科值班医生副主任医师接诊患者,老人此时意识清晰,却言语不利、口歪舌斜,左侧肢体不能上举,体格检查肌力0-1级,应主任迅速作出判断,判断他急性脑卒中可能性大,于是立即启动脑卒中急救绿色通道。
16:32 急诊电话通知神经内科五病区主任李振并迅速到场会诊,同时急诊科护士予以氧气吸入、血氧饱和度监测、甘露醇注射降颅压,开通静脉通道,并完成急诊抽血送检。随后,立即送医学影像科行头颅CT检查。

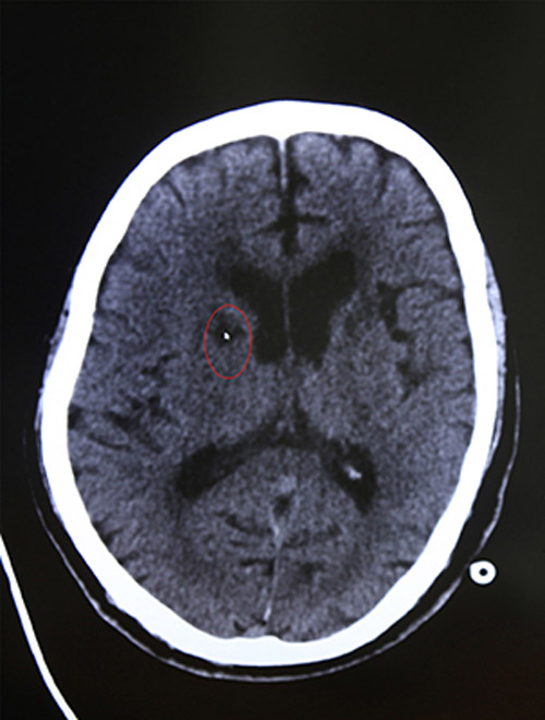
急诊CT示:排除脑出血

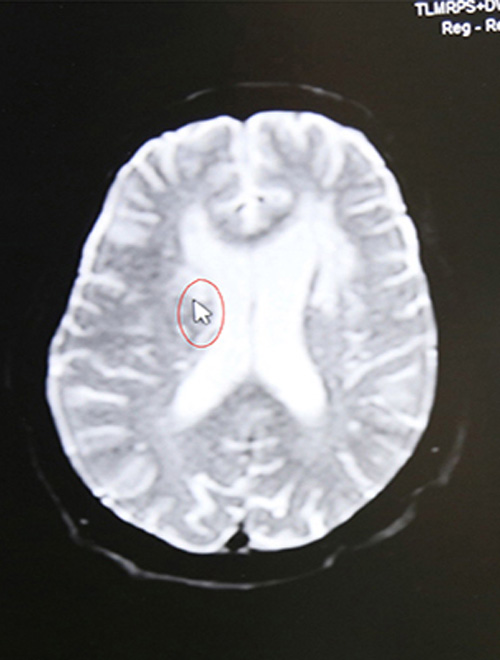
颅脑MRI示:右侧基底节区脑梗塞
16:44 影像科3分钟出报告,CT报告显示:排除脑出血。为进一步查看脑血管情况,又迅速完成了颅脑血管磁共振检查,结果显示:脑梗塞。
(结合影像学检查,了解到老人有脑梗发病史,李振并主任判断患者系急性脑梗,发病时间为15:30,还处于静脉溶栓治疗3小时的时间窗内,有溶栓治疗指征,可溶栓治疗,积极治疗血管有再通希望。)
17:30 第一时间告知患者家属病情和治疗方案,征得家属同意后,通过急救绿色通道直接将患者从负一楼送入8楼重症监护室,进行静脉溶栓治疗。
(血样报告显示结果正常,李振并主任开出医嘱,护士开始配药。)
17:40 大约10分钟后完成静脉注射,老人情况有所好转,心电监护各项指标稳定,神志较前清楚,左手可微微抬起。
(李振并主任每半小时问询查看一次老人情况,均比较平稳。)
从急诊接诊到患者接受溶栓、血管再通,急诊科、神经内科、影像科、检验科、ICU重症监护等多个科室“零等待”,发挥多学科联动优势,无缝对接,只用了不到2个小时,为抢救患者的大脑功能赢得了宝贵时间,上演了生命奇迹。
5月16日
9:57 患者病情稳定,左侧肢体已能活动,转入神经内科普通病区,进行脑梗塞的后续治疗。
5月18日
8:30 局麻下行超选择性全脑血管造影术检查,进一步证实血管再通。同日,开始对老人施予及时的超早期康复介入治疗。
5月28日
11:00 患者精神矍铄,左侧肢体能正常活动,言语功能基本恢复,基本未留后遗症。出院前,家属感谢医务人员的“神速”救治,给急诊科医生、护士以及神经科李振并主任各送来了锦旗。“真是感谢你们,太感谢你们了,非常感谢......”

雨过天晴,感恩的深情尽在不言中
专家观点:黄金三小时
神经内科李振并主任指出,对于急性缺血性脑中风(脑梗塞)患者,3小时是治疗的黄金窗(部分患者最长可延至4.5小时)。当脑血管闭塞后,3小时以内脑细胞处于缺血水肿、变性、功能障碍阶段,如果及时采取溶栓治疗疏通脑血管,脑细胞重新获得供血,功能可完全恢复,但超过3小时(最长4.5小时)脑细胞开始坏死,不可再生、不可恢复,可引发致残甚至死亡等严重后果。
大量临床实践证明通过静脉注射可以有效的溶解脑血栓,实现脑组织再灌注,拯救因缺血而频死的脑组织,极大改善脑中风恢复的机会,避免残疾的发生,是目前缺血性脑中风治疗的“黄金标准”。

11月22日至23日上午,由上海市社会医疗机构协会神经病学分会、上...【详细】


