患者赵某,男性,14岁(入院时年龄)
3年前开始出现发作性肢体抽搐,伴半身后仰,双眼上翻,偶有意识丧失,多数情况下不伴意识障碍,每次发作持续约1-2分钟,发作前无明显先兆,发作后头痛明显,早期未服药每月发作约1-2次,逐渐增多至每月发作约3-4次,1年前开始服用卡马西平后,控制较好,约每2-3个月发作一次。但近来发作次数又增多,卡马西平增量,现仍每1个月发作约1-2次。
出生时因产伤至右额顶颅骨线性骨折。3岁时即发现头右顶部稍隆起,并有颅骨缺损区,约1.5cm×2cm大小,未治疗。
平卧位头右顶部可见稍隆起包块,坐起后包块变为凹陷区,其内可见博动。触诊可及颅骨缺损区约3cm×4cm大小,形状不规则,骨窗边缘颅骨增厚。左侧上下肢肌肉萎缩,以上肢较重,肌力4级。双上肢伸直时左手尺偏,手指不能伸直,左手骨间肌萎缩。左下肢较右下肢缩短约3cm。左侧Babinsky征(+)。
头颅正侧位片:可见右顶部颅骨缺损区,局部软组织隆起,类长圆形,缺损边缘不规则、骨质密度增高合并骨质破坏密度减低,隆起如火山口状(图1)。

图1:(1)正位相见右顶部骨质缺损,局部软组织隆起,边缘不规则,骨质密度增高合并骨质破坏密度减低,隆起如火山口状;(2)侧位相见颅骨缺损区,类似长圆形,缺损边缘不规则
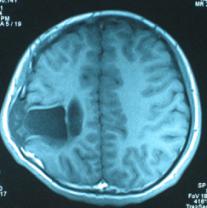
头颅CT和MRI可见颅骨缺损区下方软脑膜囊肿、脑软化灶或脑室穿通畸形(图2)。



图2:①和②CT及骨窗相显示右顶部颅骨缺损,其下方脑组织呈低密度改变;③-⑥MRI右顶局部颅骨缺如,脑组织轻度向外膨隆,右顶叶侧脑室体部旁局部脑组织缺如,代之以囊性长T1、长T2信号。
诊断:1、顽固性癫痫(药物难治性癫痫)
2、生长性颅骨骨折
开颅手术治疗:根据病情制定针对性的个体化癫痫手术方案

图3: 颅骨缺损约3cm×4cm大小 图4:术中唤醒下切除瘢痕肉芽组织,
术后切除组织病理报告:瘢痕肉芽组织(图5)。

图5:术后病理:瘢痕肉芽组织
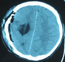
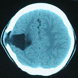
结果及随访:术后一周复查头颅CT显示脑室穿通畸形明显缩小(图6)。随访3年,未出现癫痫发作。得到很好的治疗,回归社会,正常生活学习工作。

图6:术后一周复查头颅CT显示脑室穿通畸形明显缩小
此文章仅作为临床学术研究、学术交流使用!
上一篇:神经外科专家沈建康教授:将高难度手术做成一门艺术 下一篇:半球脑软化继发癫痫案例
11月22日至23日上午,由上海市社会医疗机构协会神经病学分会、上...【详细】


