中风,又称“脑卒中”,是由于脑血管突然发生破裂出血或因血管堵塞造成大脑缺血、缺氧而引起的脑血管意外。中风具有高发病率、高复发率、高致残率、高死亡率的“四高”特点,是我国居民健康的“第一杀手”。
颅内静脉窦血栓形成也属于脑中风的一种,发病率约为十万分之五。普通的中风是大脑动脉阻塞,而这种“另类”中风是血栓堵到了大脑的静脉系统里。如果不及时进行治疗,疏通颅内静脉窦堵塞,患者极有可能因严重的颅高压、多部位脑出血、癫痫等导致昏迷甚至死亡等严重后果。
近日,年过七旬的王老先生(化名)在上海蓝十字脑科医院【同济大学附属上海蓝十字脑科医院(筹)】就诊检查时突发昏迷,意识不清,情况危急。幸运的是,经4A脑血管病一科席刚明教授团队及时抢救,王老先生成功脱险。
男子突然昏迷抽搐 原来是颅内静脉窦血栓形成
王老先生既往20余年高血压病史、心肌梗死病史、2型糖尿病史。7月15日下午,王老先生在家中出现左上肢不适,偶有阵发性左上肢不自主抽动。家属立即联系上海蓝十字脑科医院5B康复医学科/中医科主任余志良博士,经过详细问诊后,余志良博士初步考虑脑梗,需要做CT检查进一步明确诊断。但是就在医院做CT 时,王老先生突然昏迷并伴有抽搐,影像科护士立即拨打急诊科电话。
急诊科团队闻讯后,立即携推车将患者送到抢救室。当时,患者意识不清,呼喊无应答,左上肢持续性抽搐,双眼向左侧凝视。急诊医护团队立即给予心电监护,血氧饱和度监测,氧气吸入,同时立即开通静脉通路并完善血常规、凝血、D—二聚体、电解质等相关检查。根据患者病情,急诊科迅速作出研判,急性脑卒中可能性大,当即启动“脑卒中急救绿色通道”,进入脑卒中流程。
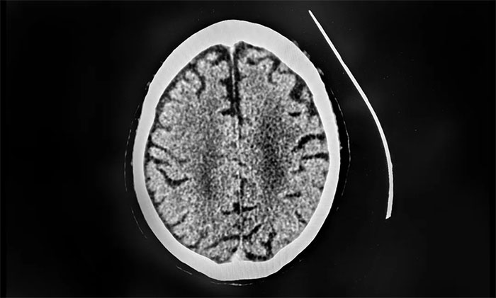
有着30多年丰富临床经验的上海蓝十字脑科医院学术副院长、4A脑血管病一科主任席刚明教授指出,患者从症状上看怀疑颅内静脉窦血栓形成。急查颅脑CT平扫未示新发出血,发现右侧横窦、窦汇、上矢状窦密度增高,此外,D-二聚体(检测血栓形成的关键指标)达到26.21mg/L,远超正常值。
经过系列检查,最终印证了席刚明教授的判断,患者确诊:颅内静脉窦血栓形成。在给予地西泮注射液静推,阿替普酶溶栓等药物治疗后,患者病肢体抽搐较前减轻,但仍有意识不清、双眼凝视。

▲ CT检查发现右侧横窦、窦汇、上矢状窦密度增高
及时打通颅内静脉窦 挽救患者生命
席刚明教授指出:患者属于重型颅内静脉窦血栓形成,由于存在静脉回流障碍,已经导致右侧额叶静脉性脑梗死、颅内压增高,而且患者病情进展快,给予溶栓后,治疗效果不佳,症状逐渐加重,时间刻不容缓,应该立即行介入手术,打通静脉窦,缓解颅内高压,及时挽救患者生命。
在经过充分术前评估准备并征得家属同意后,席刚明教授决定,立即为患者进行经皮颅内静脉取栓术。当时已经晚上8点多,席刚明教授无暇晚饭,迅速组织团队,制定了详细手术方案和应急预案。
由于颅内静脉窦位置的造影影像不像动脉处那样清晰,术中微导管几乎需要在血管内“盲穿”进入静脉窦血栓处,此外静脉的血流非常缓慢,操作时间一长它又容易形成大量的血栓,手术难度可想而知,对操作医生的熟练程度及应急能力等要求很高。
在麻醉科团队及导管室介入团队的密切配合和监护下,4A脑血管病一科主任席刚明教授、4A脑血管病一科副主任王贵平博士小心探索,一边“疏通”,一边不断切换正位及侧位造影,避免造成额外损伤。经过3个多小时的连续奋战,经多次支架取栓、导管抽吸,取出大量暗红色血栓,复查造影见上矢状窦显影明显改善,窦汇、右侧横窦、乙状窦显影改善,左横窦、乙状窦显影可,患者颅内静脉窦顺利再通。行XperCT未见颅内出血。

▲ 席刚明教授、王贵平博士在为患者手术
术后,患者顺利苏醒,无新发神经功能缺损,抽搐未再发作,最终脱离了生命危险。而此时已经是深夜,身穿20多斤重铅衣,“全副武装”的席刚明教授、王贵平博士早已全身湿透,看到患者脱险,他们终于松了一口气,像这样的手术对他们而言都是家常便饭。

▲ 术中,取出大量血栓
颅内静脉窦血栓形成 极易漏诊和误诊
席刚明教授介绍,颅内静脉窦血栓形成,是由多种病因所导致的以脑静脉回流受阻、脑脊液吸收障碍为特征的一组特殊类型脑血管病,发病部位最常见于上矢状窦、横窦和乙状窦,其次为海绵窦和直窦。颅内静脉窦血栓,占全部脑卒中的0.5%-1%,但却是导致年轻人中风的一个重要原因。
一般脑血管病患者以中老年者居多,但颅内静脉窦血栓却特别“偏爱”年轻人。据统计,颅内静脉窦血栓中约78%的患者是在50岁以下,尤其以20~35岁女性多见,男女发病的比例约为 1 :3。席刚明教授指出,与脑动脉血栓形成相比,颅内静脉窦血栓形成是一种比较复杂的脑血管疾病,发病率并不高,但病因、发病形式和临床表现都没什么特异性,多数患者以头痛伴恶心呕吐发病,40%的患者可出现抽搐发作,甚至意识障碍或昏迷,病情变化如同“变色龙”般复杂多变,因而极易漏诊和误诊。其漏诊率可达73%,40%的患者平均诊断时间在10天以上,重症患者若病情进行性加剧,得不到及时的诊断和治疗,死亡率可高达10%~15%,临床处理相当棘手。
颅内静脉窦血栓形成的原因多种多样,多发于妊娠、产褥期、长期口服避孕药、严重脱水、心功能不全、贫血、颅脑外伤等,这类人群血液易呈高凝状态、血液淤滞,容易诱发颅内静脉窦血栓及静脉血栓。此外,保持同一姿势久坐,如久坐在电脑前,容易导致颈部血脉不通,也容易诱发静脉血栓。
席刚明教授提醒,颅内静脉血栓发病时间相对较缓,症状容易和其他疾病混淆,从而延误了治疗的最佳时机。所以更应该引起大家重视,如果突然出现了一些非特异性的症状,如头痛、恶心、呕吐等,不能大意忽视,更不要轻易服用止痛药,以免耽误诊断,需要警惕是否与颅内静脉系统病变有关。
上一篇:神经外科卢云鹤博士:乳腺癌脑转移复发 为何有必要做分子病理检测 下一篇:女子长期四肢无力麻木,原来是患了罕见病——POEMS综合征!
11月22日至23日上午,由上海市社会医疗机构协会神经病学分会、上...【详细】


