颈动脉是人体重要的生命线,但椎动脉同样重要,后循环缺血性卒中很多是由椎动脉狭窄引起。目前临床治疗症状性椎动脉重度狭窄主要方式为支架,但也要警惕再狭窄的风险。
椎动脉起始部狭窄占全部脑血管狭窄的25%~40%;症状性椎动脉狭窄的5年卒中发生率约30%~35%;椎基底动脉狭窄的患者致残性卒中的发生率为18%,较正常人群高17倍;椎基底动脉硬化性闭塞的预后差,死亡率高达70%。
椎动脉病变预后差,死亡率高,应积极治疗,临床上主要采取腔内治疗方式。但由于特殊的解剖因素,椎动脉支架内再狭窄几率较高。根据大多数文献报道,椎动脉支架内再狭窄发生率为10%~43%。损伤内膜增生、拉直造成应力增加、呼吸运动、支架断裂均直接影响支架内再狭窄的发生。一旦出现再狭窄,再次处理较为困难,支架内再狭窄成为临床棘手问题。
药物涂层球囊 (Drug Coated Balloon,DCB) 作为一种新的介入治疗技术,在欧洲已经广泛应用于冠状动脉及外周介入领域,对于预防支架内再狭窄及对支架内再狭窄的治疗均有较好的效果。近日,上海蓝十字脑科医院脑血管病病区主任张琪博士带领团队成功开展了药物洗脱球囊治疗椎动脉支架内再狭窄手术。
五旬男子左侧颈动脉狭窄伴左侧椎动脉支架内再狭窄
患者为54岁男性,左下肢活动受限半个月。
既往有“糖尿病”病史8年余,空腹血糖控制在10mmol/L。3年前因右侧脑梗死及颈内动脉血管闭塞,外院行右侧STA-MCA搭桥术+EDMS术,术后恢复一般,随后突发左侧肢体乏力,动作不能,言语含糊不清。就诊当地医院行相关检查提示左侧椎动脉狭窄,行左侧椎动脉血管支架术。行相关药物及康复治疗后,左侧肢体仍活动不利,言语功能较前恢复,之后出院。
半个月前无明显诱因出现左下肢活动受限,左下肢体无力,伴肢体僵硬感,有牵拉感,行走时感肢体有沉重感,行走困难,双脚底痛温觉减退。后转入上海蓝十字脑科医院寻求进一步治疗。
入院查体,血压:131/78mmHg。神清语利,口角无歪斜,伸舌居中。左侧下肢肌张力增高,肌力3+级,左下肢浅感觉减退。

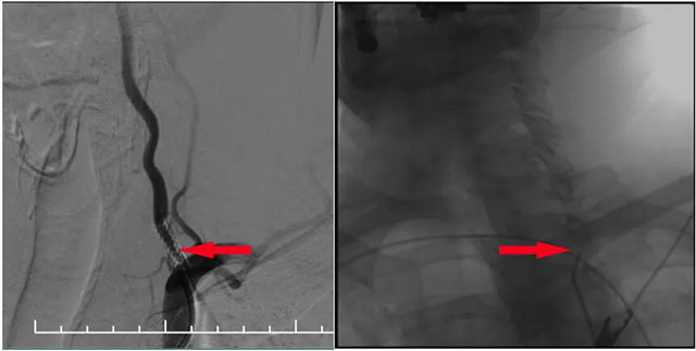
▲ DSA血管造影:左侧椎动脉支架内再狭窄

▲ 左侧颈内动脉造影见岩骨段远端狭窄,右侧大脑中动脉由左侧颈内部分代偿
MR示双侧基底节区及右侧顶叶凸面小梗塞(部分软化灶形成)轻度脑白质疏松,MR-tof 可见左侧颈内动脉岩骨段狭窄。DSA血管造影:左侧椎动脉支架内再狭窄,左侧颈内动脉造影见岩骨段远端狭窄,右侧大脑中动脉由左侧颈内部分代偿,右侧颈动脉造影提示右侧颈内动脉闭塞。
张琪博士指出,患者脑供血动脉严重狭窄,外院置入椎动脉支架内再狭窄再置入支架困难。综合患者病情,张琪博士决定为患者行左侧颈内动脉岩骨段狭窄球扩支架置入术+左侧椎动脉狭窄药物洗脱球囊扩张术。
药物洗脱球囊扩张术——即使用药物球囊进行血管内膜药物涂层,这样无需植入支架,同样可解决其支架内再狭窄病变,这也是介入治疗的新理念——介入无“置入”。

▲ 张琪博士正在为患者手术
药物球囊扩张解难题
术中,张琪博士在刘春医生、周林华医生及医护团队协助下从左侧股动脉穿刺,置入6F导管鞘。将6F导引导管在泥鳅导丝导引下置入左侧颈内动脉,造影明确岩骨段狭窄呈,测量狭窄段长度及近远端血管支架,选择合适支架,随后在微导丝辅助下越过狭窄段超选至C6段,选用4.0*18球扩支架,沿微导丝到位狭窄段,球囊扩张至6atm,即刻释放支架,即刻造影见狭窄明显改善,支架贴壁良好,血流通畅,狭窄段完全覆盖。

▲ 球囊扩张支架在微导丝导引下到位于狭窄段

▲ 球囊扩张后支架释放狭窄已明显改善
再次超选至左侧锁骨下动脉近椎动脉开口处,单次造影后明确开口狭窄程度,测量狭窄段长度及近远端血管直径,选取合适球囊。随后在微导丝辅助下通过支架内再狭窄段超选至左侧椎动脉V2段,选用2.5*15球囊,沿微导丝到位于狭窄段,球囊扩张至8atm,再次行椎动脉造影,血流有所改善。再次将球囊下移,球囊扩张至14atm,撤除球囊后行即刻造影示血流较前通畅。选择3.5*15药物洗脱球囊,超选至狭窄处,予以6atm,后撤除球囊,行即刻造影示血流较前明显改善,再次行椎动脉造影双侧大脑后动脉及基底动脉血流通畅。

▲ 药物洗脱球囊在微导丝导引下到位于左侧椎动脉支架内,充分扩张药物球囊使其贴壁

▲ 球囊扩张后,支架内狭窄明显改善,支架贴壁良好
“药物球囊治疗分叉病变、支架内再狭窄是通过局部向动脉血管壁释放抗增殖药物,抑制血管内膜增生,减少内膜炎症反应,大大降低血栓的形成。它与传统支架置入术相比,可以极大降低支架使用的临床风险,术后患者服用抗凝药物的时间减少。”张琪博士介绍,药物球囊扩张术既能达到“支架样”效果,又没有支架置入,避免了支架术后的再狭窄。药物球囊治疗避免了异物置入,为患者保留了必要时的后续治疗机会。
张琪博士提醒,为预防支架内再狭窄,药物之外还需要进行脑卒中的二级预防措施:合理用药,改变发病危险因素,肢体康复训练,规劝改变不良生活习惯等。如控制好高血脂、高血压、糖尿病等危险因素,戒烟等。
此文章仅作为临床学术研究、学术交流使用!
上一篇:DNT用时34分钟,蓝十字示范防治卒中中心深夜救治79岁脑梗患者顺利脱险 下一篇:慢阻肺引发心脏骤停,88岁老通讯员能战胜 “死神” 并康复吗?
11月22日至23日上午,由上海市社会医疗机构协会神经病学分会、上...【详细】


