两年昏迷 今朝苏醒
“老公,我爱你!”这普通的一句话,若出自正常的普通人之口,真的是再普通不过了,但是在脑梗脑出血昏迷两年后的患者王阿姨突然喊出这句话时 ,一旁的老伴孙大叔顿时惊喜连连、老泪纵横!此刻,在两年治疗中付出艰辛努力的张静波主任团队更是倍感欣慰!
2019年6月份,正在家中忙家务的王阿姨突发脑梗,之后出现脑出血,最终被确诊为静脉窦血栓,期间多次危重,并且陷入昏迷,长达两年时间。就在一家人陷入绝望时,最近,王阿姨在上海蓝十字脑科医院经过张静波主任医护团队治疗最终醒了过来。目前,王阿姨已经可以自主饮食,说话交流,回忆起往事点滴。

▲ 转院之际,王阿姨紧紧握住张静波主任的手不愿松开
突然发病 昏迷两年
家住上海的王阿姨平时爱干净,经常这里抹抹那里擦擦。2019年6月21号上午,她发现家里洗衣机出水口处长了霉斑,就将其拆下了清洗一番,可当她忙完却发现肢体活动不利索了,右腿无力,她以为是干活累的,吃过午饭就睡了一觉。可是一觉醒来,在房间里转了转还是右腿无力,才意识到问题,孙大叔便陪着老伴去附近医院检查。
当时挂的急诊,除了检查出血压偏高,CT、心电图均未发现异常,在医生建议下办了住院,当时人还是清醒的。晚上九点多,老两口忙了一整天还没吃饭,孙大叔去买了王阿姨爱吃的馄饨,就在吃饭时王阿姨突然癫痫发作,倒地抽搐、意识丧失、牙关紧咬,之后症状缓解意识恢复。第二天凌晨,王阿姨再次癫痫发作。“当时她下巴都青了,可把我吓坏了!”回想当时的情形,孙大叔十分后怕。
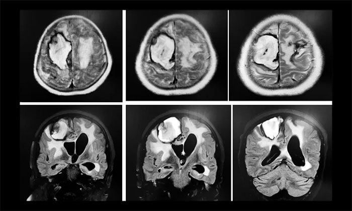
两次癫痫发作后,王阿姨陷入昏迷,再也没有醒来,并且生命体征不稳定,上了呼吸机,体温偏高,一直降不下来,医院给予相关对症治疗,但未有好转,如此一直持续了20天左右。直到7月11号,在做了CT后,医生发现脑占位,考虑肿瘤。“20天前,CT检查什么都没有,现在怎么会有肿瘤?”孙大叔提出质疑。之后行MRI示右侧额顶叶、基底节区及左侧额叶、左侧侧脑室出现大面积积血、脑水肿;MRV示右侧横窦、乙状窦、颈内静脉未见明确显示。医院影像科主任阅片后考虑静脉窦血栓。而此时距王阿姨发病已经过去了20天,错过了介入取栓时间窗,只能选择保守治疗。在住院治疗 42天后,王阿姨意识仍未恢复,还出现肺部感染,之后她辗转了多家医院。

▲ 入院时,行头颅MRI示:静脉窦血栓导致右侧额顶叶、基底节区及左侧额叶大面积出现脑积血、脑水肿
多处治疗 始终如一
2019年8月份,在别人推荐下,孙大叔将老伴转入上海蓝十字脑科医院7A张静波主任病区。
入院时,查体:患者中度昏迷状,右侧偏瘫,肌力II+级,右下肢肌张力高,右侧巴彬斯基征(阳性)。诊断:颅内静脉窦血栓形成、静脉性梗死并梗死后出血、肺部感染、继发性癫痫、低蛋白血症。
“静脉窦为脑血液回流通道,脑静脉窦血栓一旦形成,就像是把水管的总阀门关上了,颅内静脉血无法流出,脑子里“发了洪水”,产生颅高压,出现严重的脑水肿。如果不及时治疗,患者可能会因为严重的颅高压、多部位脑出血等导致昏迷,严重危及生命。”张静波主任介绍,虽然颅内静脉窦血栓是一种少见的脑血管病,发病率不高,但颅内静脉系统栓塞发病隐蔽,很容易漏诊、误诊,且病情进展较快,死亡率很高,因此不能忽视。
颅内静脉窦血栓的原因多种多样,多发于妊娠、产褥期、长期口服避孕药、严重脱水、心功能不全、贫血、颅脑外伤等,还有一些自身免疫性疾病,这类人群血液易呈高凝状态、血液淤滞,容易诱发颅内静脉窦血栓及静脉血栓。此外,保持同一姿势久坐,如久坐在电脑前,容易导致下肢血脉不通,也容易诱发下肢静脉血栓,从而进一步导致肺栓塞甚至死亡。
头痛、癫痫是颅内静脉窦血栓的常见症状,与一般头痛不同,常常还会伴有颈部僵硬,还有的患者表现为头晕、恶心、呕吐、视物模糊、癫痫、意识障碍、偏瘫、失语等。张静波主任提醒,如果无故出现头痛千万不要大意,尤其是头痛剧烈、持续不能缓解,并伴有神经系统症状,要及时就医,避免耽误治疗,造成严重后果。
针对患者病情,张静波主任制定了专门的治疗方案。予以抗凝、脱水、改善循环、促醒等一系列对症治疗。同时邀请康复科、中医科、高压氧科医师会诊,进行MDT 多学科诊疗,为其对症进行床边康复治疗,并严密监测其肺部感染情况。但入院时患者病情较重,反复癫痫发作、低蛋白血症、肺部感染、脑积水,同时发现在外院带来下肢静脉血栓,治疗上非常矛盾,颅内出血和静脉血栓共存,在对症治疗基础上,张静波主任冒风险应用低分子肝素,静脉血栓得到有效控制。之后,行脑室腹腔分流术,术后患者仍为昏迷状,而此时时间已经过去将近一年。
“人的生命只有一次啊!哪怕只有一丝希望,我们也要试试,她才六十多岁啊!”孙大叔坦言,老伴活着就是他最大的希望,他坚信老伴一定会苏醒。每天,孙大叔在家里准备好各种营养品,鸡汤、鸽子蛋等,然后骑自行车送到医院,打成糊通过鼻饲喂给老伴,然后再陪陪老伴,每天风雨无阻。
“自从我老伴住进7A病区后,张主任就非常关心他的病情,一天要来看好几次,下班前还要再看一眼,才肯放心离开。”孙大叔表示,张静波主任及医护团队的专业敬业态度,让他对妻子的治疗增加不少信心,他坦言就怕转到像康复医院之类的就麻烦了。中间几次短暂周转之后,回到上海蓝十字脑科医院继续治疗,始终是孙大叔不变的选择。

▲ 张静波主任医护团队日常照顾患者
业精于勤 护佑生命
今年3月份王阿姨在外院周转之后再次回到蓝十字医院时,常规检查新发现下肢静脉血栓(患者转到外院后没有给予抗凝药),给治疗增加了巨大风险和难度。“患者整个下肢再次充满血栓,连手术入路都十分困难,十分危急,如果不能及时排除这些血栓,它随时可以通过下腔静脉反流到肺部,造成肺栓塞,进一步导致死亡。”张静波主任及时联系转院行下腔静脉滤网植入术,术中发生癫痫连续状态。经积极抢救,王阿姨才得以生还。
今年4月份王阿姨再次来院,门诊以“继发性癫痫、下肢静脉血栓取栓术后”收治入院。神经系统查体:处于浅昏迷状态。入院后给予抗癫痫、抗凝、改善神经细胞代谢、高压氧、促醒、改善循环等药物治疗,长期抗凝治疗,未见下肢静脉血栓形成。
经过精心治疗护理,从六月份开始,张静波主任在日常查房中敏锐地发现王阿姨的微小变化。
张静波主任介绍,刚开始,患者在疼痛刺激时会有躲避等动作;到后来睁眼,有人在走动时候,眼神会跟着人走;再过一段时间,视威胁时有闭眼反应,逐渐有意识了;再过一段时间,问话有回应,比如闭眼睛、握握手、伸舌头张嘴,均可以遵嘱执行动作活动;之后会说话,叫什么名字、在哪住都记得清楚。“张主任,我要给你提个建议!”一天早上查房时王阿姨对张静波主任说到,其意识已经非常清醒了。
“你从新加坡回来了?你头发剪了?”6月底,王阿姨在新加坡留学归国的女儿来看她时,刚走进房间,王阿姨就这样问到,让孙大叔和女儿一时间都非常惊喜。孙大叔赶忙拍视频发在家人群中,与家人分享他的喜悦之情。之后,家人、同事纷纷来看望王阿姨,王阿姨一个个清楚地说出大家的姓名。
“功劳都是你们医生护士的!谢谢张静波主任、叶京华医师!谢谢李楠楠护士长!谢谢大家!”此次周转出院之际,孙大叔对张静波主任及医护团队表达了诚挚谢意。“主任、护士长,两周周转后,我还要回来啊!”办周转出院时,孙大叔微笑着说到。
此文章仅作为临床学术研究、学术交流使用!
上一篇:女子左耳失聪十八年,今能恢复听力吗? 下一篇:如何巧妙拆除颅内“不定时炸弹”——脑动静脉畸形?
11月22日至23日上午,由上海市社会医疗机构协会神经病学分会、上...【详细】


