您当前的位置:主页 > 科研教学 > 专业交流 >

头晕脸麻常感脑中“蚂蚁在爬” 大脑可能出大事了!

日期:2018-11-09 来源:上海蓝十字脑科医院 进入脑科疾病答疑区

医院公告 我院为上海市医保定点单位 如以下文章有不明之处 可以点击客服服务,一对一为您解答!

  不是因为脸部突然剧痛麻木,陈女士可能不会想到人生中会遭遇一台高风险的脑部肿瘤切除手术。在肿瘤成功切除后,她躺在上海蓝十字脑科医院的病床上细细回想,这几年来说不清道不明的那些“不舒服”,终于算是有了说法。

头晕脸麻常感脑子里“有蚂蚁在爬”

  今年46岁的陈女士早年就和丈夫来上海打拼。长期以来,她在一家鞋油制造企业的生产线打工。经常在充满刺鼻气味的环境下工作,让她的“耐受力”提高了不少。“起初不适应的时候会常常感到头晕,时间久了也就习惯了。”陈女士告诉笔者。

  就在2014年,一次轻微的头部损伤后,她开始不定期出现头痛头晕的状况。“程度不是很严重,基本两三分钟左右就好了。”陈女士表示。直到前年,她先后两次前往上海某三甲医院进行检查,拍了CT片检查后并未发现有明显异常。

  除了头痛头晕,这些年陈女士还常常觉得“脑子里有东西在爬在动”——有时候能感到血管神经的搏动跳跃,有时候又有些难以名状的酥麻感,就像很多蚂蚁在里面爬。

  今年9月28日,半夜起来上厕所的陈女士,突然感到天旋地转,左侧头面部剧痛难忍,碰触上去也没有了知觉。虽然症状很快消失了,心有余悸的她还是马上赶到上海蓝十字脑科医院来查个究竟。

“哑铃型”三叉神经鞘瘤现形

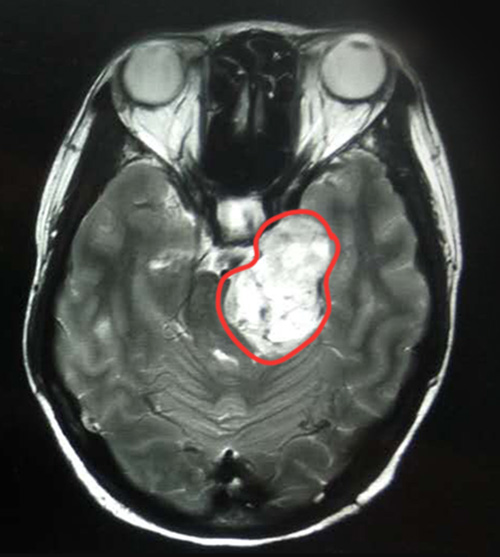
  陈女士的MRI影像诊断报告单很快出来了,结果让她大吃一惊。MRI影像显示,患者左侧桥小脑角区见团块状异常信号病灶,边界清晰,大小约4.8*3.3厘米,肿瘤呈哑铃状生长,左侧三叉神经显示不清,临近脑干受压,第四脑室受压变形,是一枚体积不小的三叉神经鞘瘤。

▲MRI影像显示,左侧桥小脑角区有一4.8*3.3厘米的肿瘤

  陈女士育有两个女儿,小女儿今年才15岁,夫妻俩共同打拼赚钱经营维系着生计。女主人“脑子里长瘤”,对于这个小家庭来说无疑是沉重的打击。

  手术切除肿瘤是治疗三叉神经鞘瘤的首选方法。经过与亲戚的慎重商议,立即进行手术成为大家的共识。“她还年轻,孩子不能没有妈妈,花再多的钱也要治。”陈女士的姐姐告诉笔者。

柳叶轻刀干净利落

  顾名思义,三叉神经鞘瘤是起源于三叉神经的肿瘤。统计显示,三叉神经鞘瘤约占颅内肿瘤的0.2%~1%,并不多见。这种肿瘤生长比较缓慢,有的病史可达10年以上,因而早期不太容易被患者察觉。

  待到确诊时,肿瘤体积往往已比较巨大,治疗难度及风险显著增加。

  三叉神经鞘瘤最常见的症状为同侧面部感觉障碍,通常为麻木,也可有疼痛或感觉异常。

  虽然这种肿瘤多为良性,但手术风险和难度却非常高。上海蓝十字脑科医院神经外科专家沈建康教授介绍,三叉神经鞘瘤可分为颅中窝型、颅后窝型和骑跨于颅中和后颅窝的“哑铃型”。患者陈女士被查出的三叉神经鞘瘤就属于最为少见的“哑铃型”肿瘤。

  由于患者的脑干已受压变形,病灶骑跨中后颅窝,手术风险和难度都非常高。加之桥小脑角区重要神经血管非常多,稍有不慎,患者将出现严重的神经功能障碍。

  切除三叉神经鞘瘤,首先要考虑的是肿瘤大小、部位与周围结构的关系以及患者的条件。沈建康教授表示,切除“哑铃型” 三叉神经鞘瘤,有些主刀医生会考虑分两次手术,对肿瘤分步切除。

  在术前讨论时,以沈建康教授为首的,有着丰富临床经验的专家团队经过认真分析研讨,决定对患者实施经颞下——天幕入路,一次性切除肿瘤的手术方案,尽可能减轻患者的痛苦和压力。

▲沈建康教授在显微镜下为患者切除了肿瘤

  手术台上,全麻状态下的患者安稳地沉睡着。沈建康教授眼前的肿瘤质地柔软,呈灰褐色。肿瘤已压迫“生命中枢”脑干,所幸与脑供血动脉黏连并不紧密。沈建康教授凭借娴熟的手术技艺,在医院先进的高倍显微镜下精雕细刻,轻轻牵拉、小心剥离,历时约5个小时,分块将肿瘤切除。术后通过CT复查,已不见肿瘤踪迹,手术取得了成功。

▲患者术后CT已不见肿瘤踪影

  如今,陈女士正在逐渐恢复,身体状况良好,不日将顺利出院。沈建康教授表示,肿瘤切除后,神经系统的功能恢复好转需要时间,患者通过营养神经和康复物理因子辅助治疗,有望尽快回到正常生活。

此文章仅作为临床学术研究、学术交流使用!

上一篇:47岁男子受帕金森折磨11年 DBS手术后重拾笑颜 下一篇:嘴唇发乌,是心脏病吗?原来是“它”在作祟
医院简介专家教授科室介绍医院荣誉医学百科就医指南上海蓝生脑科公司