颅内动脉瘤是由于颅内局部血管异常改变产生的脑血管瘤样突起,并非真正的肿瘤。它是造成蛛网膜下腔出血的首位病因,一旦破裂出血,可引起严重的临床症状甚至导致患者死亡,因此又被称为脑内“不定时炸弹”。
女子头痛加重 不远千里前来求医
43岁的田女士于1997年在无明显诱因的情况下,出现剧烈头痛,发作时伴恶心呕吐,遂至当地医院诊治,确诊为“脑囊虫病”,随即开展了手术治疗。术后恢复情况较好,症状有所减轻。
这些年来,间断性头痛仍然反复袭扰,她并没有太在意。直到今年10月,随着天气转冷,她头痛的“老毛病”持续加重。“这回有点不一样。”据她讲述,发作时脑袋就像要裂开似的,严重影响生活和工作。

▲ 女子头痛明显加重
由于此前有亲友到上海蓝十字脑科医院求医,找神经内科余志良主任治疗头晕、头痛,效果较为理想,田女士便与余主任取得联系,不远千里从黑龙江奔赴上海,寻求进一步治疗。
发现颅内动脉瘤 微创手术顺利“拆弹”
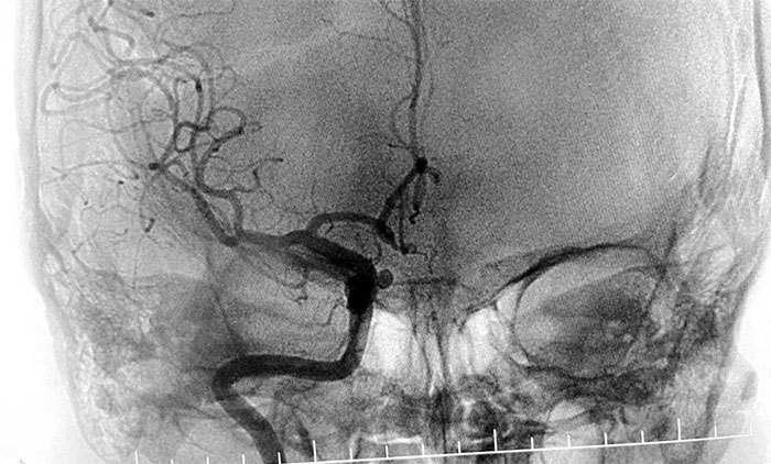
患者入院后,余志良主任为患者完善查体,根据病情特点,着重排查脑血管疾病可能。通过CTA检查,发现右侧颈内动脉C6段动脉瘤。医院学术副院长、神经内科4A病区主任席刚明教授团队进一步行DSA脑血管造影检查,提示右颈内动脉眼动脉段动脉瘤。

▲ DSA检查提示,右颈内动脉眼动脉段动脉瘤
通过审慎讨论评估,余志良主任和席刚明教授一致认为,该部位动脉瘤可因压迫重要血管神经,引起头痛头晕、视觉障碍等相关症状。一旦发生破裂出血,可导致患者出现一系列严重的神经功能损害,甚至危及生命。
患者头痛症状明显加重,结合动脉瘤形态及相关检查,瘤体破裂风险较高,建议积极治疗。该动脉瘤较理想的治疗方式为血流导向装置置入,它具有手术微创,相较于其他手术方式,减少对瘤体本身的扰动,安全性相对更高,在降低和防止动脉瘤远期复发等方面也具有一定的优势。经讨论,大家一致认同该治疗方案,与家属详细解释沟通后,同意进行手术治疗。
经充分完善术前准备,席刚明教授在麻醉科和介入手术室紧密配合下,开展右颈内动脉眼动脉段动脉瘤血流导向装置(Pipeline)置入术。手术历时两个小时,顺利“拆除”了埋在患者脑子里的“不定时炸弹”。

▲ 造影显示血流导向装置贴壁良好
术后,患者无新发神经功能缺损,余志良主任进一步为患者开展活血化瘀、改善脑循环、营养神经等中西医结合对症治疗,头痛症状基本消失,于近期康复出院。
这些人群建议定期筛查
颅内动脉瘤一旦破裂,犹如炸弹被突然引爆,可短时间内造成严重后果。文献报道,动脉瘤首次破裂的致残致死率约为30~40%。约有40~60%的患者,动脉瘤在出血后一个月内再次发生破裂,第二次破裂后的致残致死率则高达60~80%,严重威胁生命健康。

▲ 改变不健康生活方式
日常生活中,要注意改变不健康生活方式,培养保持良好生活习惯,避免吸烟酗酒、熬夜、情绪激动等容易导致动脉瘤破裂的危险诱因。此外,冬季天气寒冷,是脑血管疾病的高发期。气温的降低通常会引起血管收缩,导致血压陡然升高,从而引起急性脑出血的发生,应格外注意防寒保暖。
余志良主任还建议,年龄在40岁及以上,以及有高血压、高血脂、动脉瘤家族遗传史、脑外伤经历的人群,最好定期开展脑血管专项筛查,通过CTA、MRA等无创性检查,可提前发现颅内未破裂动脉瘤,早期诊断,评估其破裂风险,及时进行干预。
一旦出现不明原因头痛、视觉障碍等神经系统症状,则应尽早到专业医院就医诊治,以免贻误治疗时机。
版权声明:部分图片源自摄图网,如有版权纠纷,请及时联系医院。一经查实,将立即删除。
此文章仅作为临床学术研究、学术交流使用!
上一篇:医学前沿 | 李士其教授团队行经蝶经颅联合入路分次手术,顺利切除4公分巨大侵袭性垂体瘤 下一篇:基底动脉重度狭窄“命悬一线” 席刚明教授团队勇闯“禁区”为患者打通生命通道
11月22日至23日上午,由上海市社会医疗机构协会神经病学分会、上...【详细】


