您当前的位置:主页 > 医学常识 > 神经外科常识 > 脑瘤常识 >

脑健康 | 罕见“虎纹征”小脑发育不良性神经节细胞瘤

日期:2021-08-24 来源:上海蓝十字脑科医院 进入脑科疾病答疑区

医院公告 我院为上海市医保定点单位 如以下文章有不明之处 可以点击客服服务,一对一为您解答!

  小脑,是运动的重要调节中枢,它使人体运动保持协调。同时,小脑在维持身体平衡方面也起着重要作用。而一旦小脑周围脑组织或相关联的神经,因各种原因(如小脑萎缩、肿瘤等)被破坏或损伤,患者可表现出头晕、步态不稳、肢体活动不协调、言语功能障碍等小脑性共济失调症状。小脑发育不良性神经节细胞瘤,就是各类小脑肿瘤中相当少见的一种,但其对患者健康的威胁却不容小觑。

  小脑发育不良性神经节细胞瘤,是一种起源于小脑皮层、缓慢进展为特征的占位性病变。该病相当少见,2016年WHO最新分类仍将其归类于“神经元和混合神经元—神经胶质肿瘤”,WHO分级为I级,即为良性肿瘤。

  上海蓝十字脑科医院神经外科主任沈建康教授表示,小脑发育不良性神经节细胞瘤具有发育畸形和良性肿瘤的一些特点,如进展缓慢、早期多无症状等,因而起病初期不易被患者觉察。随着肿瘤生长,可出现小脑病变症状,如头晕头痛、呕吐、记忆力下降、小便急迫等。约40%的患者会出现小脑受压体征,如步态不稳、行走困难等共济失调症状,与小脑萎缩患者的一些临床表现相类似。

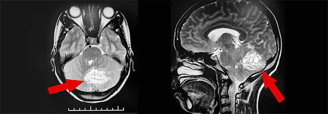
  虽然属于相当少见的疾病,但小脑发育不良性神经节细胞瘤较易获得明确诊断。沈教授表示,小脑发育不良性神经节细胞瘤的主要检查方法是磁共振成像(MRI),MRI能清楚显示小脑发育不良性神经节细胞瘤的条纹状或分层状改变表现,即所谓的“虎纹征”——这对小脑发育不良性神经节细胞瘤具有术前定性诊断价值。

  沈建康教授团队顺利手术切除肿瘤

  今年36岁的陶女士(化名)是三个孩子的妈妈,由于长期受精神疾病困扰,她时常需要到医院进行检查。半年多前,在一次常规的检查中,她意外被查出了左侧小脑半球占位。在当地医院进一步诊断后,考虑为小脑发育不良性神经节细胞瘤。

  据家属称,陶女士近期常有阵发性头晕发作伴视物模糊,右侧上肢肢体偶有麻木无力,后逐渐出现步态不稳等共济失调症状。经亲友介绍,患者慕名来到上海蓝十字脑科医院寻求进一步治疗。

▲ MRI检查显示,该小脑肿瘤有明显的“虎纹征”

  由于小脑发育不良性神经节细胞瘤非常少见,医院神经外科沈建康教授、侯增欣主任团队对患者进行了有针对性的检查,并结合病情开展了严谨的治疗评估工作。沈教授指出,结合专科查体,患者小脑肿瘤诊断明确,目前患者共济失调症状明显,通过外科手术治疗可缓解患者症状,延缓病情进展。在检查未发现明显手术禁忌症,明确告知手术风险并由家属签字同意后,沈建康教授在侯增欣主任、陈永新博士的协助下,为陶女士开展了肿瘤切除手术。

▲ 沈教授在侯主任的协助下开展手术

  术中,在蔡司显微镜(双荧光)下可见,肿瘤边界欠清晰,分层叠加生长,呈鱼肉状,质地偏软。生长于小脑部位的肿瘤手术切除难度较大,为了在保护神经组织的同时尽可能多地切除肿瘤,沈教授小心翼翼地将体积约4cm×4cm×2.5cm的肿瘤分成若干小块进行切除,整台手术历时近4小时,手术进程顺利。术后病理诊断示:神经节细胞与胶质细胞混合性肿瘤(WHO I级)。目前,患者仍在术后恢复过程中,身体状况平稳。

  沈建康教授表示,小脑发育不良性神经节细胞瘤临床罕见,此病除了头晕头痛、共济失调及后组脑神经受累表现,还可伴发巨颅、脊髓积水、神经纤维瘤、多发错构瘤综合征等先天发育畸形。目前,手术切除病变是该疾病主要的治疗方法,若能全切肿瘤,则患者预后较好,但也要当心复发的可能。因此,对于小脑发育不良性神经节细胞瘤术后患者来说,遵照医嘱长期随诊仍然十分必要。

上一篇:脑肿瘤已手术切除 为何还要进行放化疗? 下一篇:别慌!这种颅内病变,未必就是脑肿瘤
医院简介专家教授科室介绍医院荣誉医学百科就医指南上海蓝生脑科公司