您当前的位置:主页 > 医学常识 > 神经外科常识 > 脑瘤常识 >

别慌!这种颅内病变,未必就是脑肿瘤

日期:2021-11-08 来源:上海蓝十字脑科医院 进入脑科疾病答疑区

医院公告 我院为上海市医保定点单位 如以下文章有不明之处 可以点击客服服务,一对一为您解答!

  颅脑病变都是大问题?头颅MRI检查提示鞍区病变,是不是就是脑肿瘤?不,也可能只是囊肿!

  近日,16岁的女孩玲玲因头晕在当地医院查出颅内占位,考虑可能是肿瘤,一家人被“吓”得不轻。

  所幸,经上海蓝十字脑科医院神经外科李士其教授团队诊断,确诊为垂体囊肿,只是虚惊一场,最终手术顺利切除。

  神经外科专家解析:垂体囊肿并不是肿瘤

  Rathke囊肿也被称作垂体囊肿,是发生在鞍区的一种常见良性病变,可以理解为“一包水”。胚胎时期在垂体中间残留着狭小的间隙,正常情况下,这个间隙在出生后便退化消失了。如果这个间隙持续存在,周围细胞分泌的囊液进入间隙内,使间隙逐渐扩大,就会形成我们所说的垂体囊肿。

  “很多时候,垂体囊肿并不会出现明显的症状,可能仅是在检查其他疾病时被偶然发现。”李士其教授介绍,当囊肿明显压迫周围组织如视神经及垂体时,患者可能出现头痛、头晕、视力下降以及垂体功能减退所导致的精神萎靡、疲乏无力、多饮多尿、月经不调、性欲减退等症状,其中以头痛症状较为多见。

  症状性的鞍内Rathke囊肿患者应采取手术治疗,鼻蝶窦入路显微神经外科手术是治疗Rathke囊肿常用的方法。

  头晕当地就医疑患肿瘤,赴蓝十字求治

  正在读初中的玲玲从半个月前无明显诱因下出现持续性头晕症状,刚开始玲玲父母以为女儿可能是学习太累导致。

  但是,一连三天都持续头晕,引起家长警觉,玲玲父母不敢耽搁,迅速带孩子到当地医院求医。医院查头颅CT提示鞍区占位,医生考虑是肿瘤。

  一听到肿瘤,玲玲一家被“吓”得不轻。为谨慎起见并寻求进一步诊断,父母带着玲玲慕名来到上海蓝十字脑科医院,求医于李士其教授团队。

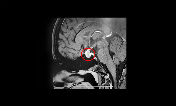
  鞍区MRI显示:蝶鞍稍扩大,鞍底骨质下陷。鞍内垂体上缘稍膨隆,腺垂体中央见一枚类椭圆形异常信号,大小约1.6×1.2×0.9cm。

  T1WI上呈高信号、T2WI呈低信号,轮廓光整,静脉团注Gd-DTPA后多个时相动态增强。冠状位T1WI见早期病变强化不明显,与明显强化垂体对比明显,病变相对于正常腺体呈低信号,境界变清晰。

  垂体柄缩短,未见偏移;视交叉轻度上抬;双侧海绵窦未见异常改变;所示蝶窦局部黏膜增厚。

  专家会诊排除肿瘤,成功手术返校

  “你颅内的病变应该不是脑肿瘤。”李士其教授、潘仁龙主任、吴治群博士会诊认为患者颅内病变更符合Rathke囊肿的诊断。

  当听到女儿颅内不是肿瘤时,玲玲父母悬着的心也暂时放下了。既然不是脑肿瘤,那要不要手术?

  对于患者和家属的疑问,李士其教授回答:“垂体、垂体柄及视交叉受压明显,建议手术切除。手术可以采取神经内镜经鼻蝶入路微创切除,手术较安全、恢复较快。”

▲ 李士其教授正在为患者手术

  10月17日,在征得家属同意后,李士其教授在其医护团队协助下顺利为患者实施“经鼻蝶鞍区占位性病变切除术”,将病变切除。

  术后,玲玲情况良好,头晕症状消失,无发热、脑脊液鼻漏等术后并发症。术后病理诊断为Rathke囊肿。经过一段时间恢复,玲玲已经顺利出院,回到学校继续学业。

  Rathke囊肿和颅咽管瘤很容易混淆

  李士其教授提醒,颅咽管瘤和Rathke囊肿,尤其是鞍内囊性颅咽管瘤和较大的Rathke囊肿,临床上很难鉴别。两者的名称、组织起源、临床表现和影像学征象都极易混淆,容易造成误诊。

  颅咽管瘤,曾因其组织学特征和发生部位有过不少名称:釉质瘤、表皮瘤、髓样癌、Rathke肿瘤和Rathke囊肿病、垂体管肿瘤、颅咽管囊肿瘤以及垂体柄肿瘤等,直到 1930 年Mclean 提出颅咽管瘤的命名方才沿用至今。

  Rathke囊肿又称垂体胶样囊肿、垂体囊肿、上皮黏液囊肿、上皮样囊肿等。显然,命名上两者就有很多相似之处。

  从组织来源上溯源,垂体发育自口咽膜外胚层的Rathke囊和前脑泡神经垂体芽。胚胎早期,颅咽管和Rathke囊是同时存在的。Rathke囊包括颅咽管瘤,颅咽管瘤只是Rathke囊一部分,但两者大约于胚胎11周时消失。

  Rathke囊肿与颅咽管瘤的异同

  颅咽管发育残留细胞发生突变而产生颅咽管瘤,因其来自口咽膜外胚层,因此易出现与骨化相关的钙化。

  Rathke囊袋前壁和后壁两者之间有部分成人残留一小腔隙,该腔隙在大多数成人逐渐被上皮细胞内折所填充,但部分成人该腔隙可一直保留下来。当腔隙内分泌物增加,腔隙明显扩张时可形成Rathke囊肿。

  因此颅咽管、Rathke囊都源自垂体的胚胎发育过程。颅咽管瘤的出现类似于畸胎瘤的存在,是垂体的胚胎发育残留细胞发生突变而产生的良性肿瘤。

  Rathke囊肿只是Rathke囊袋前壁和后壁之间残留的腔隙,系垂体胚胎发育不完全的产物。

  两者的类似之处为颅咽管瘤与Rathke囊肿均可以引起垂体功能低下、视力视野障碍。不同之处在于,大多数颅咽管瘤患者年龄轻,尤其囊性颅咽管瘤多见于儿童,肿瘤主体位于鞍上,病灶大、病情重,影响部位多,可能引起脑积水、颅内压增高;Rathke囊肿多见于成人,病灶较小,多局限于鞍区,病情较轻。

上一篇:脑健康 | 罕见“虎纹征”小脑发育不良性神经节细胞瘤 下一篇:肿瘤防治宣传周︱癌症防治 全面行动 “三级预防”要牢记
医院简介专家教授科室介绍医院荣誉医学百科就医指南上海蓝生脑科公司